Figure 1. Parvalbumin and Calretinin expressing interneurons in the rat hippocampus.
Rat hippocampus stained with HB6457 to detect Parvalbumin and HB6494 to detect Calretinin. Parvalbumin was detected using an anti-mouse biotin antibody followed by incubation with Streptavidin Janelia Fluor® 525 HB15382.
Method: Rat brains were dissected and fixed overnight in 4% PFA before then being incubated in 30% sucrose (in PBS) until sunk (approx. 48hrs). A freezing microtome was used to cut 40µm horizontal slices before sections were incubated in 1% NaBH4 for 30 minutes. Sections were blocked in 0.05M glycine, 2% BSA and 3% donkey serum before incubation overnight in Parvalbumin HB6457 (1:1000 dilution) and Calretinin HB6494 (1:4000 dilution) at 4°C. This was followed by a two hour incubation with goat anti-mouse biotin antibody (HB11345), at a dilution of 1:250 and goat anti-rabbit Dylight™ 650 (Thermofisher) at a dilution of 1:300. Following three washes in PBST, sections were incubated with Streptavidin Janelia Fluor® 525 HB15382 at 1.0 µg/mL for 2 hours at room temperature. DAPI HB0747 was used at 1µg/ml to visualise cell nuclei. For more detail please see our IHC(IF) protocol. Images were captured using a Leica DMI6000B inverted epifluorescence microscope. Images were captured as a tilescan using a 20x objective in a z-stack with exposures: A4: 57.803 ms, Y3: 599.044 ms, Y5 599.044 ms.
Stacks were deconvolved using Huygens professional then flattened using a maximum Z projection in ImageJ (Schindelin et al., 2012. Nat Methods, 9(7), 676–682).
Figure 2. Tyrosine hydroxylase staining in rat striatum visualized using biotin-streptavidin detection.
HB11345 (goat anti-mouse H&L biotin antibody) in combination with HB7167 (mouse monoclonal anti-tyrosine hydroxylase antibody) and HB5255 (Streptavidin HRP) was used to stain the dense network of dopaminergic terminals in the rat caudate putamen. Method: Rat brains were dissected and fixed overnight in 4% PFA before then being incubated in 70% ethanol and embedded in paraffin. Deparaffinization was carried out following cutting of the tissue block into 5µm sections. Antigen retrieval was carried out using citrate buffer (HB8687) at 95°C for 20 minutes before sections were blocked in 1% BSA, 10% serum. HB7167 was incubated overnight (4°C) at 1µg/ml (1:1,000 dilution). Following washing and peroxide blocking with 0.3% H2O2, the sections were incubated in HB11345 (goat anti-mouse H&L biotin antibody) for 1 hour at room temperature (1:300 dilution). Following subsequent washes the sections were incubated in HB5255 (Streptavidin HRP) for 30 minutes at room temperature (1:500 dilution). The reaction was developed using DAB (HB0687) and counterstained using hematoxylin (HB6189) before sections were dehydrated and mounted using DPX. For more details please see our paraffin embedded immunohistochemistry protocol. Images were taken on a standard widefield microscope using brightfield illumination and a 5x objective.
Figure 3. Parvalbumin expressing interneurons and GFAP expressing astrocytes in the rat hippocampus
Rat hippocampus stained with HB6457 to detect Parvalbumin and HB6406 to detect GFAP. Parvalbumin was detected using an anti-mouse biotin antibody followed by incubation with Streptavidin Janelia Fluor® 525 HB12382.
Method: Rat brains were dissected and fixed overnight in 4% PFA before then being incubated in 30% sucrose (in PBS) until sunk (approx. 48hrs). A freezing microtome was used to cut 40µm horizontal slices before sections were incubated in 1% NaBH4 for 30 minutes. Sections were blocked in 0.05M glycine, 2% BSA and 3% donkey serum before incubation overnight in Parvalbumin HB6457 (1:1000 dilution) and GFAP HB6406 (1:4000 dilution) at 4°C. This was followed by a two hour incubation with goat anti-mouse biotin antibody at a dilution of 1:250 and goat anti-chicken Alexa Fluor™ 488 (Invitrogen) at a dilution of 1:300. Following three washes in PBST, sections were incubated with Streptavidin Janelia Fluor® 525 HB12382 at 1.0 µg/mL for 2 hours at room temperature. DAPI HB0747 was used at 1 µg/ml to visualise cell nuclei. For more detail please see our IHC(IF) protocol. Images were captured using a Leica DMI6000B inverted epifluorescence microscope. Images were captured using a 20x objective in a z-stack with exposures: A4: 57.803 ms, GFP: 524.511 ms, Y3: 524.211 ms
Stacks were deconvolved using Huygens professional then flattened using a maximum Z projection in ImageJ (Schindelin et al., 2012. Nat Methods, 9(7), 676–682).
Figure 4. Tyrosine hydroxylase staining of dopaminergic nuclei in rat midbrain visualized using biotin-streptavidin detection.
HB11345 (goat anti-mouse H&L biotin antibody) in combination with HB7167 (mouse monoclonal anti-tyrosine hydroxylase antibody) and HB5255 (Streptavidin HRP) was used to stain the large population of dopamine expressing neurons found in the rat midbrain. Method: Rat brains were dissected and fixed overnight in 4% PFA before then being incubated in 70% ethanol and embedded in paraffin. Deparaffinization was carried out following cutting of the tissue block into 5µm sections. Antigen retrieval was carried out using citrate buffer (HB8687) at 95°C for 20 minutes before sections were blocked in 1% BSA, 10% serum. HB7167 was incubated overnight (4°C) at 2µg/ml (1:500 dilution). Following washing and peroxide blocking with 0.3% H2O2, the sections were incubated in HB11345 (goat anti-mouse H&L biotin antibody) for 1 hour at room temperature (1:300 dilution). Following subsequent washes the sections were incubated in HB5255 (Streptavidin HRP) for 30 minutes at room temperature (1:500 dilution). The reaction was developed using DAB (HB0687) and counterstained using hematoxylin (HB6189) before sections were dehydrated and mounted using DPX. For more details please see our paraffin embedded immunohistochemistry protocol. Images were taken on a standard widefield microscope using brightfield illumination and a 5x objective.
Figure 5. Parvalbumin positive interneurons and GFAP positive astrocytes in the rat hippocampus.
Rat hippocampus stained with HB6457 to detect Parvalbumin and HB6406 to detect GFAP. Parvalbumin was detected using an anti-mouse biotin antibody HB11345 followed by incubation with Streptavidin Janelia Fluor® HB18064.
Method: Rat brains were dissected and fixed overnight in 4% PFA before then being incubated in 30% sucrose (in PBS) until sunk (approx. 48hrs). A freezing microtome was used to cut 40µm horizontal slices before sections were incubated in 1% NaBH4 for 30 minutes. Sections were blocked in 0.05M glycine, 2% BSA and 3% donkey serum before incubation overnight in Parvalbumin HB6457 (1:1,000 dilution) and GFAP HB6406 (1:4000 dilution) at 4°C. This was followed by a two hour incubation with goat anti-mouse biotin antibody at a dilution of 1:250 and goat anti-chicken Alexa Fluor™ 488, (Invitrogen) at a dilution of 1:300. Following three washes in PBST, sections were incubated with Streptavidin Janelia Fluor® 549 HB18064 at 1.0 µg/mL for 2 hours at room temperature. DAPI HB0747 IHC(IF) protocol. Images were captured using a Leica DMI6000B inverted epifluorescence microscope. Images were captured using a 20x objective in a z-stack with exposures: DAP: 224.256 ms, GFP: 677.506 ms, Y3: 1044.272 ms
Stacks were deconvolved using Huygens professional then flattened using a maximum Z projection in ImageJ (Schindelin et al., 2012. Nat Methods, 9(7), 676–682).
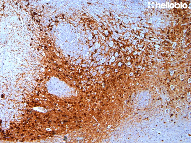
Figure 6. Parvalbumin containing neurons stained in paraffin embedded rat cerebellum sections
HB6457 effectively stains the population of parvalbumin expressing neurons within the cerebellum of paraffin embedded horizontal rat brain sections. Method: Rat brains were dissected and fixed overnight in 4% PFA before then being incubated in 70% ethanol and embedded in paraffin. Deparaffinization was carried out following cutting of the tissue block into 5µm sections. Antigen retrieval was carried out using citrate buffer (HB8687) at 95°C for 20 minutes before sections were blocked in 1% BSA, 10% serum. HB6457 was incubated overnight (4°C) at 4µg/ml (1:250 dilution). Following washing and peroxide blocking with 0.3% H2O2, the sections were incubated in HB11345 (goat anti-mouse H&L biotin antibody) for 1 hour at room temperature (1:500 dilution). Following subsequent washes, the sections were incubated in HB5255 (Streptavidin HRP) for 30 minutes at room temperature (1:500 dilution). The reaction was developed using DAB (HB0687) and counterstained using hematoxylin (HB6189) before sections were dehydrated and mounted using DPX. For more details, please see our paraffin embedded immunohistochemistry protocol. The image was taken on a standard widefield microscope using brightfield illumination and a 5x objective.
Figure 7. Parvalbumin expressing interneurons and GFAP positive astrocytes in the rat hippocampus.
Rat hippocampus stained with HB6457 to detect Parvalbumin and HB6406 to detect GFAP. Parvalbumin was detected using anti-mouse biotin antibody HB11345 followed by incubation with Streptavidin AF488 HB13531.
Method: Rat brains were dissected and fixed overnight in 4% PFA before then being incubated in 30% sucrose (in PBS) until sunk (approx. 48hrs). A freezing microtome was used to cut 40µm horizontal slices before sections were incubated in 1% NaBH4 for 30 minutes. Sections were blocked in 0.05M glycine, 2% BSA and 3% donkey serum before incubation overnight in Parvalbumin HB6457 (1:1000 dilution) and GFAP HB6406 (1:4000) at 4°C. This was followed by a two hour incubation with goat anti-mouse biotin antibody HB11345 at a dilution of 1:250 and goat anti-chicken Alex Fluor™ 647 (Invitrogen) at a dilution of 1:300. Following three washes in PBST, sections were incubated with Streptavidin AF488 HB13531 at 1.0 µL/mL for 2 hours at room temperature. DAPI HB0747 was used at 1µg/ml to visualise cell nuclei. For more detail please see our IHC(IF) protocol. Images were captured using a Leica DMI6000B inverted epifluorescence microscope. Images were captured using a 20x objective in a z-stack with exposures: A4: 57.803 ms, GFP: 151.803 ms, Y5: 599.044 ms
Stacks were deconvolved using Huygens professional then flattened using a maximum Z projection in ImageJ (Schindelin et al., 2012. Nat Methods, 9(7), 676–682).
Figure 8. Tyrosine hydroxylase staining of midbrain dopaminergic fibres visualized using biotin-streptavidin detection.
HB11345 (goat anti-mouse H&L biotin antibody) in combination with HB7167 (mouse monoclonal anti-tyrosine hydroxylase antibody) and HB5255 (Streptavidin HRP) was used to stain dopaminergic fibres projecting from the midbrain to caudate putamen in fixed rat brains. Method: Rat brains were dissected and fixed overnight in 4% PFA before then being incubated in 70% ethanol and embedded in paraffin. Deparaffinization was carried out following cutting of the tissue block into 5µm sections. Antigen retrieval was carried out using citrate buffer (HB8687) at 95°C for 20 minutes before sections were blocked in 1% BSA, 10% serum. HB7167 was incubated overnight (4°C) at 2µg/ml (1:500 dilution). Following washing and peroxide blocking with 0.3% H2O2, the sections were incubated in HB11345 (goat anti-mouse H&L biotin antibody) for 1 hour at room temperature (1:300 dilution). Following subsequent washes the sections were incubated in HB5255 (Streptavidin HRP) for 30 minutes at room temperature (1:500 dilution). The reaction was developed using DAB (HB0687) and counterstained using hematoxylin (HB6189) before sections were dehydrated and mounted using DPX. For more details please see our paraffin embedded immunohistochemistry protocol. Images were taken on a standard widefield microscope using brightfield illumination and a 20x objective.
Figure 1. Parvalbumin and Calretinin expressing interneurons in the rat hippocampus.
Rat hippocampus stained with HB6457 to detect Parvalbumin and HB6494 to detect Calretinin. Parvalbumin was detected using an anti-mouse biotin antibody followed by incubation with Streptavidin Janelia Fluor® 525 HB15382.
Method: Rat brains were dissected and fixed overnight in 4% PFA before then being incubated in 30% sucrose (in PBS) until sunk (approx. 48hrs). A freezing microtome was used to cut 40µm horizontal slices before sections were incubated in 1% NaBH4 for 30 minutes. Sections were blocked in 0.05M glycine, 2% BSA and 3% donkey serum before incubation overnight in Parvalbumin HB6457 (1:1000 dilution) and Calretinin HB6494 (1:4000 dilution) at 4°C. This was followed by a two hour incubation with goat anti-mouse biotin antibody (HB11345), at a dilution of 1:250 and goat anti-rabbit Dylight™ 650 (Thermofisher) at a dilution of 1:300. Following three washes in PBST, sections were incubated with Streptavidin Janelia Fluor® 525 HB15382 at 1.0 µg/mL for 2 hours at room temperature. DAPI HB0747 was used at 1µg/ml to visualise cell nuclei. For more detail please see our IHC(IF) protocol. Images were captured using a Leica DMI6000B inverted epifluorescence microscope. Images were captured as a tilescan using a 20x objective in a z-stack with exposures: A4: 57.803 ms, Y3: 599.044 ms, Y5 599.044 ms.
Stacks were deconvolved using Huygens professional then flattened using a maximum Z projection in ImageJ (Schindelin et al., 2012. Nat Methods, 9(7), 676–682).
Figure 2. Tyrosine hydroxylase staining in rat striatum visualized using biotin-streptavidin detection.
HB11345 (goat anti-mouse H&L biotin antibody) in combination with HB7167 (mouse monoclonal anti-tyrosine hydroxylase antibody) and HB5255 (Streptavidin HRP) was used to stain the dense network of dopaminergic terminals in the rat caudate putamen. Method: Rat brains were dissected and fixed overnight in 4% PFA before then being incubated in 70% ethanol and embedded in paraffin. Deparaffinization was carried out following cutting of the tissue block into 5µm sections. Antigen retrieval was carried out using citrate buffer (HB8687) at 95°C for 20 minutes before sections were blocked in 1% BSA, 10% serum. HB7167 was incubated overnight (4°C) at 1µg/ml (1:1,000 dilution). Following washing and peroxide blocking with 0.3% H2O2, the sections were incubated in HB11345 (goat anti-mouse H&L biotin antibody) for 1 hour at room temperature (1:300 dilution). Following subsequent washes the sections were incubated in HB5255 (Streptavidin HRP) for 30 minutes at room temperature (1:500 dilution). The reaction was developed using DAB (HB0687) and counterstained using hematoxylin (HB6189) before sections were dehydrated and mounted using DPX. For more details please see our paraffin embedded immunohistochemistry protocol. Images were taken on a standard widefield microscope using brightfield illumination and a 5x objective.
Figure 3. Parvalbumin expressing interneurons and GFAP expressing astrocytes in the rat hippocampus
Rat hippocampus stained with HB6457 to detect Parvalbumin and HB6406 to detect GFAP. Parvalbumin was detected using an anti-mouse biotin antibody followed by incubation with Streptavidin Janelia Fluor® 525 HB12382.
Method: Rat brains were dissected and fixed overnight in 4% PFA before then being incubated in 30% sucrose (in PBS) until sunk (approx. 48hrs). A freezing microtome was used to cut 40µm horizontal slices before sections were incubated in 1% NaBH4 for 30 minutes. Sections were blocked in 0.05M glycine, 2% BSA and 3% donkey serum before incubation overnight in Parvalbumin HB6457 (1:1000 dilution) and GFAP HB6406 (1:4000 dilution) at 4°C. This was followed by a two hour incubation with goat anti-mouse biotin antibody at a dilution of 1:250 and goat anti-chicken Alexa Fluor™ 488 (Invitrogen) at a dilution of 1:300. Following three washes in PBST, sections were incubated with Streptavidin Janelia Fluor® 525 HB12382 at 1.0 µg/mL for 2 hours at room temperature. DAPI HB0747 was used at 1 µg/ml to visualise cell nuclei. For more detail please see our IHC(IF) protocol. Images were captured using a Leica DMI6000B inverted epifluorescence microscope. Images were captured using a 20x objective in a z-stack with exposures: A4: 57.803 ms, GFP: 524.511 ms, Y3: 524.211 ms
Stacks were deconvolved using Huygens professional then flattened using a maximum Z projection in ImageJ (Schindelin et al., 2012. Nat Methods, 9(7), 676–682).
Figure 4. Tyrosine hydroxylase staining of dopaminergic nuclei in rat midbrain visualized using biotin-streptavidin detection.
HB11345 (goat anti-mouse H&L biotin antibody) in combination with HB7167 (mouse monoclonal anti-tyrosine hydroxylase antibody) and HB5255 (Streptavidin HRP) was used to stain the large population of dopamine expressing neurons found in the rat midbrain. Method: Rat brains were dissected and fixed overnight in 4% PFA before then being incubated in 70% ethanol and embedded in paraffin. Deparaffinization was carried out following cutting of the tissue block into 5µm sections. Antigen retrieval was carried out using citrate buffer (HB8687) at 95°C for 20 minutes before sections were blocked in 1% BSA, 10% serum. HB7167 was incubated overnight (4°C) at 2µg/ml (1:500 dilution). Following washing and peroxide blocking with 0.3% H2O2, the sections were incubated in HB11345 (goat anti-mouse H&L biotin antibody) for 1 hour at room temperature (1:300 dilution). Following subsequent washes the sections were incubated in HB5255 (Streptavidin HRP) for 30 minutes at room temperature (1:500 dilution). The reaction was developed using DAB (HB0687) and counterstained using hematoxylin (HB6189) before sections were dehydrated and mounted using DPX. For more details please see our paraffin embedded immunohistochemistry protocol. Images were taken on a standard widefield microscope using brightfield illumination and a 5x objective.
Figure 5. Parvalbumin positive interneurons and GFAP positive astrocytes in the rat hippocampus.
Rat hippocampus stained with HB6457 to detect Parvalbumin and HB6406 to detect GFAP. Parvalbumin was detected using an anti-mouse biotin antibody HB11345 followed by incubation with Streptavidin Janelia Fluor® HB18064.
Method: Rat brains were dissected and fixed overnight in 4% PFA before then being incubated in 30% sucrose (in PBS) until sunk (approx. 48hrs). A freezing microtome was used to cut 40µm horizontal slices before sections were incubated in 1% NaBH4 for 30 minutes. Sections were blocked in 0.05M glycine, 2% BSA and 3% donkey serum before incubation overnight in Parvalbumin HB6457 (1:1,000 dilution) and GFAP HB6406 (1:4000 dilution) at 4°C. This was followed by a two hour incubation with goat anti-mouse biotin antibody at a dilution of 1:250 and goat anti-chicken Alexa Fluor™ 488, (Invitrogen) at a dilution of 1:300. Following three washes in PBST, sections were incubated with Streptavidin Janelia Fluor® 549 HB18064 at 1.0 µg/mL for 2 hours at room temperature. DAPI HB0747 IHC(IF) protocol. Images were captured using a Leica DMI6000B inverted epifluorescence microscope. Images were captured using a 20x objective in a z-stack with exposures: DAP: 224.256 ms, GFP: 677.506 ms, Y3: 1044.272 ms
Stacks were deconvolved using Huygens professional then flattened using a maximum Z projection in ImageJ (Schindelin et al., 2012. Nat Methods, 9(7), 676–682).
Figure 6. Parvalbumin containing neurons stained in paraffin embedded rat cerebellum sections
HB6457 effectively stains the population of parvalbumin expressing neurons within the cerebellum of paraffin embedded horizontal rat brain sections. Method: Rat brains were dissected and fixed overnight in 4% PFA before then being incubated in 70% ethanol and embedded in paraffin. Deparaffinization was carried out following cutting of the tissue block into 5µm sections. Antigen retrieval was carried out using citrate buffer (HB8687) at 95°C for 20 minutes before sections were blocked in 1% BSA, 10% serum. HB6457 was incubated overnight (4°C) at 4µg/ml (1:250 dilution). Following washing and peroxide blocking with 0.3% H2O2, the sections were incubated in HB11345 (goat anti-mouse H&L biotin antibody) for 1 hour at room temperature (1:500 dilution). Following subsequent washes, the sections were incubated in HB5255 (Streptavidin HRP) for 30 minutes at room temperature (1:500 dilution). The reaction was developed using DAB (HB0687) and counterstained using hematoxylin (HB6189) before sections were dehydrated and mounted using DPX. For more details, please see our paraffin embedded immunohistochemistry protocol. The image was taken on a standard widefield microscope using brightfield illumination and a 5x objective.
Figure 7. Parvalbumin expressing interneurons and GFAP positive astrocytes in the rat hippocampus.
Rat hippocampus stained with HB6457 to detect Parvalbumin and HB6406 to detect GFAP. Parvalbumin was detected using anti-mouse biotin antibody HB11345 followed by incubation with Streptavidin AF488 HB13531.
Method: Rat brains were dissected and fixed overnight in 4% PFA before then being incubated in 30% sucrose (in PBS) until sunk (approx. 48hrs). A freezing microtome was used to cut 40µm horizontal slices before sections were incubated in 1% NaBH4 for 30 minutes. Sections were blocked in 0.05M glycine, 2% BSA and 3% donkey serum before incubation overnight in Parvalbumin HB6457 (1:1000 dilution) and GFAP HB6406 (1:4000) at 4°C. This was followed by a two hour incubation with goat anti-mouse biotin antibody HB11345 at a dilution of 1:250 and goat anti-chicken Alex Fluor™ 647 (Invitrogen) at a dilution of 1:300. Following three washes in PBST, sections were incubated with Streptavidin AF488 HB13531 at 1.0 µL/mL for 2 hours at room temperature. DAPI HB0747 was used at 1µg/ml to visualise cell nuclei. For more detail please see our IHC(IF) protocol. Images were captured using a Leica DMI6000B inverted epifluorescence microscope. Images were captured using a 20x objective in a z-stack with exposures: A4: 57.803 ms, GFP: 151.803 ms, Y5: 599.044 ms
Stacks were deconvolved using Huygens professional then flattened using a maximum Z projection in ImageJ (Schindelin et al., 2012. Nat Methods, 9(7), 676–682).
Figure 8. Tyrosine hydroxylase staining of midbrain dopaminergic fibres visualized using biotin-streptavidin detection.
HB11345 (goat anti-mouse H&L biotin antibody) in combination with HB7167 (mouse monoclonal anti-tyrosine hydroxylase antibody) and HB5255 (Streptavidin HRP) was used to stain dopaminergic fibres projecting from the midbrain to caudate putamen in fixed rat brains. Method: Rat brains were dissected and fixed overnight in 4% PFA before then being incubated in 70% ethanol and embedded in paraffin. Deparaffinization was carried out following cutting of the tissue block into 5µm sections. Antigen retrieval was carried out using citrate buffer (HB8687) at 95°C for 20 minutes before sections were blocked in 1% BSA, 10% serum. HB7167 was incubated overnight (4°C) at 2µg/ml (1:500 dilution). Following washing and peroxide blocking with 0.3% H2O2, the sections were incubated in HB11345 (goat anti-mouse H&L biotin antibody) for 1 hour at room temperature (1:300 dilution). Following subsequent washes the sections were incubated in HB5255 (Streptavidin HRP) for 30 minutes at room temperature (1:500 dilution). The reaction was developed using DAB (HB0687) and counterstained using hematoxylin (HB6189) before sections were dehydrated and mounted using DPX. For more details please see our paraffin embedded immunohistochemistry protocol. Images were taken on a standard widefield microscope using brightfield illumination and a 20x objective.
Product information
Immunogen
Purified mouse IgG
Isotype
IgG
Purification
Immunogen affinity chromatography. Pre-adsorbed with human serum proteins
Concentration
0.5 mg/ml
Formulation
Lyophilised. When reconstituted contains PBS with 1% recombinant albumin and less than 0.1% sodium azide
Tested applications
Applications
ELISA, ICC, IHC, IHC-P, WB, IHC(IF)
Western blot optimal concentration
Tested at 1:10,000. Optimise dependent upon assay.
IHC(IF) optimal concentration
Tested at 1:250 (2 µg/ml). Optimise dependent upon assay.
IHC-P optimal concentration
Tested at 1:300 dilution. Optimise dependent upon assay.
ICC optimal concentration
Tested at 1:250 (2 µg/ml). Optimise dependent upon assay.
Negative control
While this antibody has been cross-adsorbed to reduce non-specific binding it is still often worthwhile to conduct a control experiment where the primary antibody is omitted to give confidence that the staining pattern observed is specific.
Storage & Handling
Storage instructions
-20°C then use reconstitution advice
Reconstitution advice
We recommend reconstituting with either:
dH2O and storing at 4°C
50:50 ratio of dH2O to glycerol and storing at -20°C
dH2O then aliquot and store at -80°C
Take care when opening as the precipitate is extremely light and can easily be lost if disturbed. When reconstituting make sure that the antibody is thoroughly dissolved by pipetting up and down before giving the antibody a brief spin at <10,000g to make sure that all material is recovered and at the bottom of the tube.
What guarantee do you have that my secondary antibody will perform as expected?
We guarantee that your secondary antibody will work for the applications we list on the datasheet. If the antibody fails to perform as expected then we are happy to offer a 100% refund guarantee. For more details please see our guarantee policy.
What protocols are available for use with this secondary antibody?
We have made a comprehensive collection of protocols that we have used in our experiments to validate this secondary antibody.
What counterstains do you recommend for use in ICC and IHC with this secondary antibody?