3,3-Diaminobenzidine (DAB) tetrahydrochloride

(HB0687)

Certificate of Analysis

Latest Certificate of Analysis

Download the latest CoA for this product:

Download CoA

Download Batch-Specific CoA

To download the CoA for a batch, enter the batch ID below:

Technical documents: CoA SDS Datasheet

Product overview

Name 3,3-Diaminobenzidine (DAB) tetrahydrochloride
Alternative names DAB, DAB substrate
Biological description

Overview

DAB tetrahydrochloride is a water soluble form of DAB which is a derivative of benzene and is widely used in the staining of nucleic acids and proteins, particularly in IHC and HC procedures.

DAB is oxidized by hydrogen peroxide in the presence of peroxidases such as HRP. Once oxidized, DAB forms a dark brown insoluble precipitate at the reaction site to allow visualisation of the target.

This precipitate can be chelated with osmium tetroxide and the color produced can be enhanced by the addition of metals (e.g. nickel, copper, silver and cobalt).

Uses & applications

In IHC, DAB acts as a substrate for peroxidase enzymes conjugated to a primary or secondary antibody e.g. HRP-conjugated antibodies.

DAB is also used for peroxisome and mitochondrial COX activity staining and used to detect the presence and distribution of hydrogen peroxide in plants cells.

DAB also enhances staining of iron.

Purity >98%
Description

Chromogen staining agent widely used in IHC

Write Your Own Review
You're reviewing:3,3-Diaminobenzidine (DAB) tetrahydrochloride
Rate this item:

Images

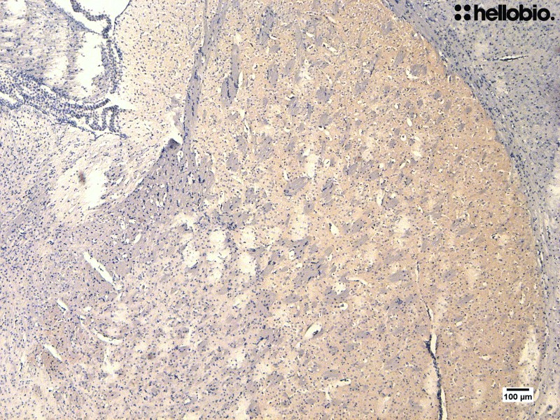
Figure 1. Parvalbumin positive neurons visualized in rat cerebellum using DAB staining

Paraffin embedded rat brain section stained for parvalbumin using HB6457 showing the parvalbumin containing interneurons in the cerebellum. DAB (HB0687) was used to develop the reaction and Modified Mayer's Hematoxylin (HB6189) was used as a nuclear counterstain.

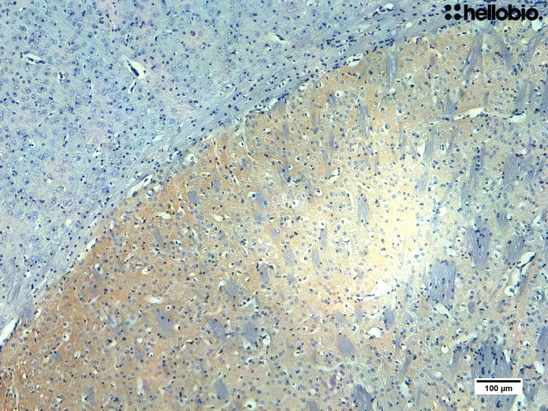
Figure 2. Tyrosine hydroxylase visualized in mouse striatum using DAB staining

Paraffin embedded mouse brain section stained for tyrosine hydroxylase using HB6605 showing the dense network of dopaminergic neurons in the mouse striatum. DAB (HB0687) was used to develop the reaction and Modified Mayer's Hematoxylin (HB6189) was used as a nuclear counterstain.

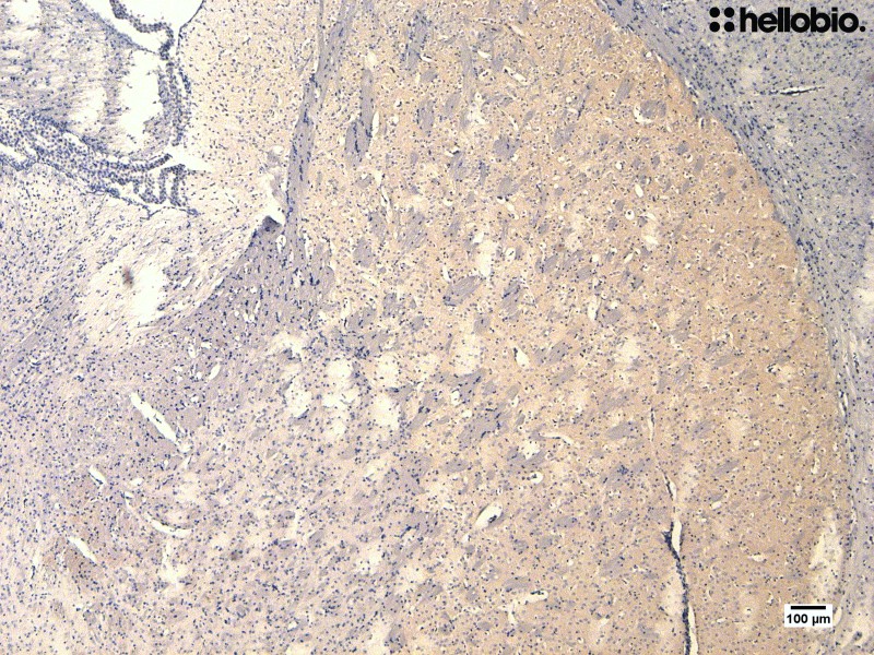
Figure 3. Parvalbumin positive neurons visualized in rat cerebellum using DAB staining

Paraffin embedded rat brain section stained for parvalbumin using HB6457 showing the parvalbumin containing interneurons in the cerebellum. DAB (HB0687) was used to develop the reaction and Modified Mayer's Hematoxylin (HB6189) was used as a nuclear counterstain.

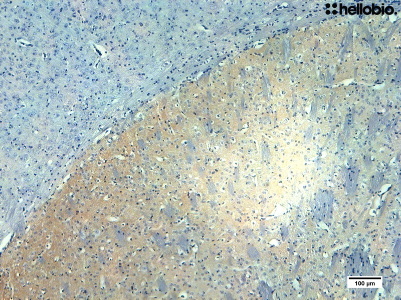
Figure 4. Tyrosine hydroxylase visualized in mouse striatum using DAB staining

Paraffin embedded mouse brain section stained for tyrosine hydroxylase using HB6605 showing the dense network of dopaminergic neurons in the mouse striatum. DAB (HB0687) was used to develop the reaction and Modified Mayer's Hematoxylin (HB6189) was used as a nuclear counterstain.

Biological Data

Application notes

DAB Staining using HRP Conjugated Secondary Antibodies

 

Stock solutions:

  • 1% DAB (0.1g DAB, 10ml dH2O, 3-5 drops of 10M HCl), mix well and ensure solution is an even brown color. This can be frozen and subsequently thawed
  • 0.3% H2O2 (100µl of 30% H2O2, 10ml dH2O), can be kept for short periods of time but better to make fresh

Working solution:

  • Mix a 1:1:20 ratio of 1% DAB: 0.3% H2O2 : PBS (e.g. 250µl of 1% DAB solution with 250uL of 0.3% H2O2 and 5ml PBS which is sufficient for 100 sections)

 

Protocol:

  1. Following secondary antibody incubation and washing add 50µl of DAB working solution to each section and incubate at room temperature for 10 minutes. During this time the color development can be monitored and the incubation time increased or decreased as required. 
  2. Rinse slides in running tap water for 5 minutes.
  3. Counterstain with hematoxylin or proceed straight to dehydration and mounting.

Solubility & Handling

Storage instructions -20°C
Solubility overview Soluble in water (2% by mass)
Important This product is for RESEARCH USE ONLY and is not intended for therapeutic or diagnostic use. Not for human or veterinary use

Calculators

Molarity

=
x
x
More Info

Dilution

x
=
x
More Info

Chemical Data

Purity >98%
Chemical name 3,3'-Diaminobenzidine tetrahydrochloride
Molecular Weight 360.11
Chemical structure 3,3-Diaminobenzidine tetrahydrochloride | [868272-85-9] Chemical Structure
Molecular Formula C12H14N4.4HCl
CAS Number 868272-85-9
PubChem identifier 16211746
SMILES C1=CC(=C(C=C1C2=CC(=C(C=C2)N)N)N)N.O.Cl.Cl.Cl.Cl
InChiKey DXWSCXIZIHILNP-UHFFFAOYSA-N
MDL number MFCD08273058
Appearance Off-white to brown solid

References for 3,3-Diaminobenzidine (DAB) tetrahydrochloride

References are publications that support the biological activity of the product
  • 3,3'-Diaminobenzidine staining interferes with PCR-based DNA analysis.

    Doelle et al (2018) Sci Rep. 8(1) : 1272
  • Detection of Hydrogen Peroxide by DAB Staining in Arabidopsis Leaves.

    Daudi et al (2012) Bio Protoc 2(18) : e263
  • Chromogen-based immunohistochemical method for elucidation of the coexpression of two antigens using antibodies from the same species.

    Nakata et al (2012) J Histochem Cytochem 60(8) : 611-9
  • Comparison of histological techniques to visualize iron in paraffin-embedded brain tissue of patients with Alzheimer's disease.

    van Duijin et al (201 3) J Histochem Cytochem 61(11) : 785-92
  • Comparison of histological techniques to visualize iron in paraffin-embedded brain tissue of patients with Alzheimer's disease.

    van Duijin et al (201 3) J Histochem Cytochem 61(11) : 785-92

5 Item(s)

Publications
These publications cite the use of 3,3-Diaminobenzidine (DAB) tetrahydrochloride purchased from Hello Bio:
  • β Bursting in the Retrosplenial Cortex Is a Neurophysiological Correlate of Environmental Novelty Which Is Disrupted in a Mouse Model of Alzheimer's Disease.

    Walsh C et al (2022) The Journal of neuroscience : the official journal of the Society for Neuroscience 42 : 7094-7109
    PubMedID: 35927034

1 Item