Hematoxylin is a nuclear stain with a deep blue-purple color. It is used as a counterstain for immunohistochemical or hybridization procedures that use colorimetric substrates (e.g. alkaline phosphatase or peroxidase.)
It is a component of one of the most widely used histology stains: the H&E stain (Hematoxylin and Eosin stain).
Modified Mayer's Hematoxylin nuclear staining in paraffin embedded mouse brain tissue. Modified Mayer's Hematoxylin from Hello Bio stains nuclei blue-purple with crisp detail.
Figure 2. Parvalbumin positive neurons visualized in rat cerebellum using DAB staining using hematoxylin counterstain
Paraffin embedded rat brain section stained for parvalbumin using HB6457 showing the parvalbumin containing interneurons in the cerebellum. DAB (HB0687)) was used to develop the reaction and Modified Mayer's Hematoxylin was used as a nuclear counterstain.
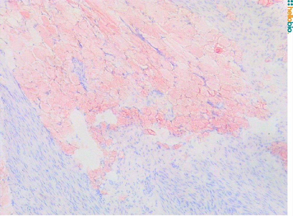
Modified Mayer's Hematoxylin nuclear staining in mesenteric connective tissue. Modified Mayer's Hematoxylin from Hello Bio stains nuclei blue-purple with crisp detail.
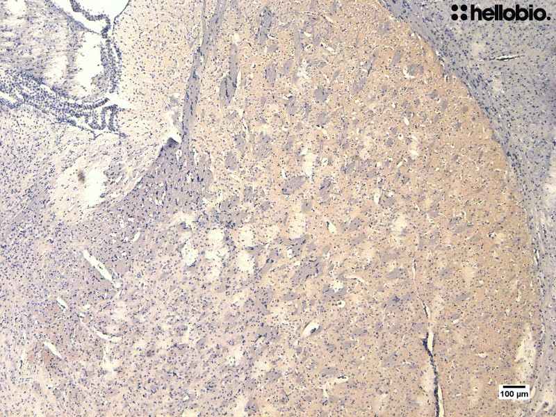
Figure 4. Tyrosine hydroxylase staining in mouse striatum with hematoxylin counterstain
Paraffin embedded mouse brain section stained for tyrosine hydroxylase using HB6605 showing the dense network of dopaminergic neurons in the mouse striatum. DAB (HB0687) was used to develop the reaction and Modified Mayer's Hematoxylin was used as a nuclear counterstain.
Figure 5. Parvalbumin positive neurons visualized in rat cerebellum using DAB staining using hematoxylin counterstain
Paraffin embedded rat brain section stained for parvalbumin using HB6457 showing the parvalbumin containing interneurons in the cerebellum. DAB (HB0687)) was used to develop the reaction and Modified Mayer's Hematoxylin was used as a nuclear counterstain.
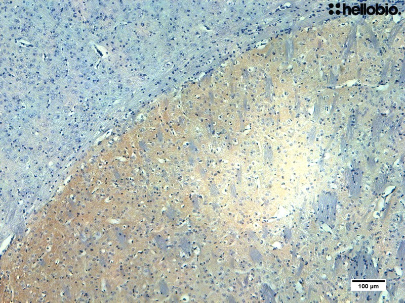
Figure 6. Tyrosine hydroxylase staining in mouse striatum with hematoxylin counterstain
Paraffin embedded mouse brain section stained for tyrosine hydroxylase using HB6605 showing the dense network of dopaminergic neurons in the mouse striatum. DAB (HB0687) was used to develop the reaction and Modified Mayer's Hematoxylin was used as a nuclear counterstain.
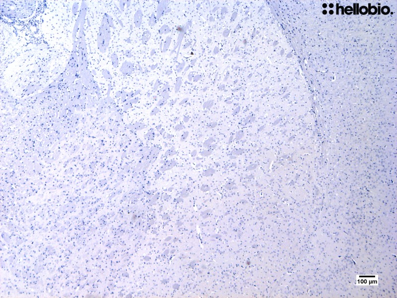
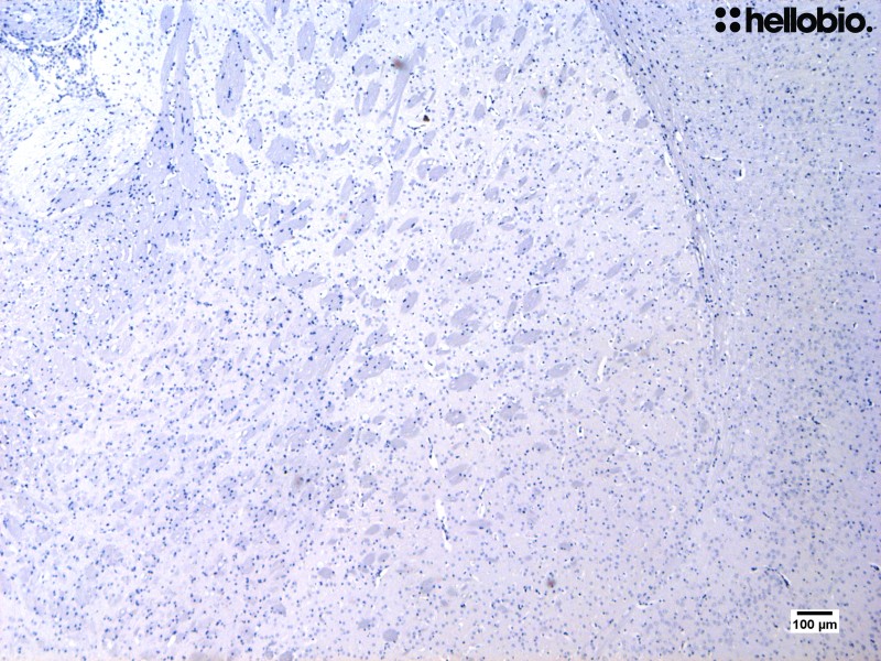
Figure 1. Hematoxylin staining in mouse striatum
Modified Mayer's Hematoxylin nuclear staining in paraffin embedded mouse brain tissue. Modified Mayer's Hematoxylin from Hello Bio stains nuclei blue-purple with crisp detail.
Figure 2. Parvalbumin positive neurons visualized in rat cerebellum using DAB staining using hematoxylin counterstain
Paraffin embedded rat brain section stained for parvalbumin using HB6457 showing the parvalbumin containing interneurons in the cerebellum. DAB (HB0687)) was used to develop the reaction and Modified Mayer's Hematoxylin was used as a nuclear counterstain.
Modified Mayer's Hematoxylin nuclear staining in mesenteric connective tissue. Modified Mayer's Hematoxylin from Hello Bio stains nuclei blue-purple with crisp detail.
Figure 4. Tyrosine hydroxylase staining in mouse striatum with hematoxylin counterstain
Paraffin embedded mouse brain section stained for tyrosine hydroxylase using HB6605 showing the dense network of dopaminergic neurons in the mouse striatum. DAB (HB0687) was used to develop the reaction and Modified Mayer's Hematoxylin was used as a nuclear counterstain.
Figure 5. Parvalbumin positive neurons visualized in rat cerebellum using DAB staining using hematoxylin counterstain
Paraffin embedded rat brain section stained for parvalbumin using HB6457 showing the parvalbumin containing interneurons in the cerebellum. DAB (HB0687)) was used to develop the reaction and Modified Mayer's Hematoxylin was used as a nuclear counterstain.
Figure 6. Tyrosine hydroxylase staining in mouse striatum with hematoxylin counterstain
Paraffin embedded mouse brain section stained for tyrosine hydroxylase using HB6605 showing the dense network of dopaminergic neurons in the mouse striatum. DAB (HB0687) was used to develop the reaction and Modified Mayer's Hematoxylin was used as a nuclear counterstain.
Biological Data
Application notes
Hematoxylin staining protocol for paraffin embedded sections
Â
Incubate paraffin embedded sections in histoclear for 20 minutes
Incubate slides in 100% ethanol for 3 minutes
Incubate slides in 90% ethanol for 3 minutes
Incubate slides in 70% ethanol for 3 minutes
Rinse in tap water
Incubate in hematoxylin solution for 5 minutes
Rinse in running tap water for 5 minutes
Dip in acid alcohol (8-12 fast dips)
Recipe: 70% ethanol with 25mM HCl
Incubate slides in tap water for 2 minutes
Incubate slides in Scott's water for 2 minutes
Recipe: 10g/l MgSO4, 0.66g/l NaHCO3
Dip and swish in 70% ethanol
Dip and swish in 90% ethanol
Incubate slides in 100% ethanol for 3 minutes
Incubate slides in three changes of xylene for 1 minute per incubation
Carry out in a fume hood as xylene is extremely toxic
Mount with DPX and leave to dry in a fume hood overnight before imaging
Solubility & Handling
Storage instructions
Room temperature
Important
This product is for RESEARCH USE ONLY and is not intended for therapeutic or diagnostic use. Not for human or veterinary use