Antibody to tyrosine hydroxylase (TH) - the rate limiting enzyme in catecholamine synthesis and used as a marker for catecholaminergic (dopaminergic and noradrenergic) neurones in the CNS. Part of the ValidAb™ range of highly validated, data-rich antibodies.
Rat midbrain stained by HB7167 for tyrosine hydroxylase visualising dopaminergic neurons of the midbrain. Method: Rat brains were dissected and fixed overnight in 4% PFA before then being incubated in 30% sucrose (in PBS) until sunk (approx. 48hrs). A freezing microtome was used to cut 40µm horizontal slices before sections were incubated in 1% NaBH4 for 15 minutes. Sections were blocked in 0.05M glycine, 2% BSA and 3% goat serum before incubation overnight in HB7167 (1:1,000 dilution). This was followed by a two-hour incubation with secondary antibody at a 1:300 dilution (polyclonal goat anti-mouse DyLight 550, Thermofisher, 84540). DAPI (HB0747) was used at 1µg/ml to visualise cell nuclei and sections were mounted using MightyMount Antifade Fluorescence Mounting Medium (hardset). For more detail please see our IHC(IF) protocol. The image was captured using a Leica DMI6000B inverted epifluorescence microscope. The image was captured using a 40x objective in a z-stack (0.3µm spacing). The image was captured as a tilescan using DAP and L5 filters with the following exposures respectively: 30ms and 7mss. The stack was deconvolved using Huygens professional then flattened using a maximum Z projection in ImageJ (Schindelin et al., 2012. Nat Methods, 9(7), 676–682).
Figure 2. Tyrosine hydroxylase expressing dopaminergic projections to the caudate putamen.
Rat midbrain fibres stained by HB7167 for tyrosine hydroxylase to visualise dopaminergic fibres alongside HB6498 to stain NeuN. Method: Rat brains were dissected and fixed overnight in 4% PFA before then being incubated in 30% sucrose (in PBS) until sunk (approx. 48hrs). A freezing microtome was used to cut 40µm horizontal slices before sections were incubated in 1% NaBH4 for 15 minutes. Sections were blocked in 0.05M glycine, 2% BSA and 3% goat serum before incubation overnight in HB7167 (1:1,000 dilution) and HB6498 (1:1,000 dilution). This was followed by a two-hour incubation with secondary antibodies at a 1:300 dilution (polyclonal goat anti-mouse DyLight 550, Thermofisher, 84540 and polyclonal goat anti-rabbit DyLight 650, Thermofisher, 11804574). DAPI (HB0747) was used at 1µg/ml to visualise cell nuclei and sections were mounted using MightyMount Antifade Fluorescence Mounting Medium (hardset). For more detail please see our IHC(IF) protocol. The image was captured using a Leica DMI6000B inverted epifluorescence microscope. The image was captured using a 40x objective in a z-stack (0.62µm spacing). The image was captured as a tilescan using DAP, RHO and Y5 filters with the following exposures respectively: 49ms, 10ms and 12ms. The stack was deconvolved using Huygens professional then flattened using a maximum Z projection in ImageJ (Schindelin et al., 2012. Nat Methods, 9(7), 676–682).
Figure 3. Concentration response of HB7167 staining in paraffin embedded horizontal rat brain sections.
HB7167 stains dopaminergic terminals in rat striatum and midbrain dopaminergic fibres with an extremely high signal/noise ratio at dilutions as low as 1:2,000 (0.5µg/ml). Method: Rat brains were dissected and fixed overnight in 4% PFA before then being incubated in 70% ethanol and embedded in paraffin. Deparaffinization was carried out following cutting of the tissue block into 5µm sections. Antigen retrieval was carried out using citrate buffer (HB8687) at 95°C for 20 minutes before sections were blocked in 1% BSA, 10% serum. HB7167 was incubated overnight (4°C) at concentrations ranging from 4 µg/ml (1:250 dilution) to 0.5µg/ml (1:2,000 dilution). Following washing and peroxide blocking with 0.3% H2O2, the sections were incubated in HB11345 (goat anti-mouse H&L biotin antibody) for 1 hour at room temperature (1:300 dilution). Following subsequent washes, the sections were incubated in HB5255 (Streptavidin HRP) for 30 minutes at room temperature (1:500 dilution). The reaction was developed using DAB (HB0687) and counterstained using hematoxylin (HB6189) before sections were dehydrated and mounted using DPX. For more details, please see our paraffin embedded immunohistochemistry protocol. Images were taken on a standard widefield microscope using brightfield illumination and either 5x or 40x objectives.
Figure 4. Tyrosine hydroxylase expression in various tissue lysates and preparations (MES buffered Bis-Tris gel).
HB7167 revealed a ≈72kDa band associated with tyrosine hydroxylase only in neural tissue samples. Please note tyrosine hydroxylase runs at a higher apparent molecular weight in MES buffered Tris-Bis gels. Method: mouse brain and rat brain membrane (P2) and cytosol fractions were prepared following previous work (Molnar et al., 1993. Neuroscience 53:307-326) from freshly collected adult brains. Other tissue lysates were prepared following established protocols from freshly dissected tissue (see our guide on WB sample preparation). Samples were loaded (20µg / lane) onto a 4-20% bis-tris acrylamide gel alongside a protein ladder before being run at 180V for 45 minutes. Wet transfer to a PVDF membrane was completed in 90 minutes using 400mA. The membrane was blocked for 2hrs in 5% non-fat dry milk before being incubated overnight at 4°C in HB7167 at a 1:1,000 dilution. Following washing, the membrane was incubated in secondary antibody (1:10,000 dilution, Polyclonal goat anti-mouse HRP conjugated, Sigma, A3682) for 2hrs. For more detail please see our Western blotting protocol. Detection was accomplished using Clarity Western ECL substrate (BioRad, 1705061) and a Licor Odyssey Fc imaging system (ECL channel: 5 min exposure, 700nm channel: 30 sec exposure). Following imaging the membrane was stripped with two changes of stripping buffer (HB7756) before being washed, blocked for 2 hours in 5% non-fat dry milk and incubated in HB9177 (mouse monoclonal anti-GAPDH, 1:4,000 dilution, 0.25µg/ml) overnight at 4°C. Following washing the membrane was incubated in a 1:10,000 dilution of a polyclonal goat anti-mouse HRP conjugated secondary antibody (Sigma Aldrich A3682) for 2hrs and visualised again using Clarity Western ECL substrate (BioRad, 1705061) and a Licor Odyssey Fc imaging system (ECL channel: 4 min exposure, 700nm channel: 30 sec exposure).
Figure 5. Independent antibody validation of HB7167 and HB6589 in dopaminergic midbrain neurons.
The staining patterns of HB7167 and HB6589 completely overlap in rat midbrain dopaminergic neurons showing strong evidence for antibody specificity. Method: Rat brains were dissected and fixed overnight in 4% PFA before then being incubated in 30% sucrose (in PBS) until sunk (approx. 48hrs). A freezing microtome was used to cut 40µm horizontal slices before sections were incubated in 1% NaBH4 for 15 minutes. Sections were blocked in 0.05M glycine, 2% BSA and 3% goat serum before incubation overnight in HB7167 (1:1000 dilution) and HB6589 (1:1000 dilution). This was followed by a two-hour incubation with secondary antibodies at a 1:300 dilution (polyclonal goat anti-mouse DyLight 550, Thermofisher, 84540 and polyclonal donkey anti-chicken DyLight 488, Thermofisher, A78948). DAPI (HB0747) was used at 1µg/ml to visualise cell nuclei and sections were mounted using MightyMount Antifade Fluorescence Mounting Medium (hardset). For more detail please see our IHC(IF) protocol. The image was captured using a Leica DMI6000B inverted epifluorescence microscope. The image was captured using a 100x objective in a z-stack (0.22µm spacing). The image was captured as a tilescan using A4 (72ms @1x gain exposure), GFP (70ms @ 1x gain exposure) and Y3 (10ms @ 3.3x gain exposure) filters. The stack was deconvolved using Huygens professional then flattened using a maximum Z projection in ImageJ (Schindelin et al., 2012. Nat Methods, 9(7), 676–682).
Figure 6. Concentration response of HB7167 staining in rat striatum.
HB7167 stains rat dopaminergic terminals in the striatum with high signal to noise at dilutions down to 1:8,000. Method: Rat brains were dissected and fixed overnight in 4% PFA before then being incubated in 30% sucrose (in PBS) until sunk (approx. 48hrs). A freezing microtome was used to cut 40µm horizontal slices before sections were incubated in 1% NaBH4 for 15 minutes. Sections were blocked in 0.05M glycine, 2% BSA and 3% goat serum before incubation overnight in HB7167 and HB6498 (1:1,000 (1µg/ml) to 1:8,000 (0.125µg/ml) dilutions). This was followed by a two-hour incubation with secondary antibody at a 1:300 dilution (polyclonal goat anti-mouse DyLight 550, Thermofisher, 84540 and polyclonal goat anti-rabbit DyLight 650, Thermofisher 11804574). DAPI (HB0747) was used at 1µg/ml to visualise cell nuclei and sections were mounted using MightyMount Antifade Fluorescence Mounting Medium (hardset). For more detail please see our IHC(IF) protocol.
Images were captured using a Leica DMI6000B inverted epifluorescence microscope and a 100x objective in a z-stack (0.6µm spacing). Stacks were deconvolved using Huygens professional then flattened using a maximum Z projection in ImageJ (Schindelin et al., 2012. Nat Methods, 9(7), 676–682). Exposure times were as follows:
• 1:1,000 – DAP: 10ms, RHO: 42ms, Y5: 27ms
• 1:2,000 – DAP: 10ms, RHO: 118.9ms, Y5: 92ms
• 1:4,000 – DAP: 10ms, RHO: 100.2ms, Y5: 139ms
• 1:8,000 – DAP: 10ms, RHO: 128.2ms, Y5: 161ms
Figure 7. Tyrosine hydroxylase staining in rat striatum visualized using HB7167.
HB7167 effectively stains the dense network of dopaminergic terminals in the caudate putamen of paraffin embedded horizontal rat brain sections. Method: Rat brains were dissected and fixed overnight in 4% PFA before then being incubated in 70% ethanol and embedded in paraffin. Deparaffinization was carried out following cutting of the tissue block into 5µm sections. Antigen retrieval was carried out using citrate buffer (HB8687) at 95°C for 20 minutes before sections were blocked in 1% BSA, 10% serum. HB7167 was incubated overnight (4°C) at 1µg/ml (1:1,000 dilution). Following washing and peroxide blocking with 0.3% H2O2, the sections were incubated in HB11345 (goat anti-mouse H&L biotin antibody) for 1 hour at room temperature (1:300 dilution). Following subsequent washes the sections were incubated in HB5255 (Streptavidin HRP) for 30 minutes at room temperature (1:500 dilution). The reaction was developed using DAB (HB0687) and counterstained using hematoxylin (HB6189) before sections were dehydrated and mounted using DPX. For more details, please see our paraffin embedded immunohistochemistry protocol. Images were taken on a standard widefield microscope using brightfield illumination and a 5x objective.
Figure 8. Independent antibody validation of HB7167 and HB6589 in dopaminergic projections.
The staining patterns of HB7167 and HB6589 completely overlap in rat dopaminergic projections showing strong evidence for antibody specificity. Method: Rat brains were dissected and fixed overnight in 4% PFA before then being incubated in 30% sucrose (in PBS) until sunk (approx. 48hrs). A freezing microtome was used to cut 40µm horizontal slices before sections were incubated in 1% NaBH4 for 15 minutes. Sections were blocked in 0.05M glycine, 2% BSA and 3% goat serum before incubation overnight in HB7167 (1:1,000 dilution) and HB6589 (1:1,000 dilution). This was followed by a two-hour incubation with secondary antibodies at a 1:300 dilution (polyclonal goat anti-mouse DyLight 550, Thermofisher, 84540 and polyclonal donkey anti-chicken DyLight 488, Thermofisher, A78948). DAPI (HB0747) was used at 1µg/ml to visualise cell nuclei and sections were mounted using MightyMount Antifade Fluorescence Mounting Medium (hardset). For more detail please see our IHC(IF) protocol. The image was captured using a Leica DMI6000B inverted epifluorescence microscope. The image was captured using a 40x objective in a z-stack (0.62µm spacing). The image was captured as a tilescan using DAP (49ms exposure), L5 (15ms exposure) and RHO (10ms exposure) filters. The stack was deconvolved using Huygens professional then flattened using a maximum Z projection in ImageJ (Schindelin et al., 2012. Nat Methods, 9(7), 676–682).
Figure 9. Tyrosine hydroxylase expression in various tissue lysates and preparations.
HB7167 revealed the ≈62kDa band associated with tyrosine hydroxylase only in neural tissue samples. Method: mouse brain and rat brain membrane (P2) and cytosol fractions were prepared following previous work (Molnar et al., 1993. Neuroscience 53:307-326) from freshly collected adult brains. Other tissue lysates were prepared following established protocols from freshly dissected tissue (see our guide on WB sample preparation). Samples were loaded (20µg / lane) onto a 12% acrylamide gel alongside a protein ladder before being run at 60V for 30 minutes followed by 160V for 60 minutes. Wet transfer to a PVDF membrane was completed in 90 minutes using 400mA. The membrane was blocked for 2hrs in 5% non-fat dry milk before being incubated overnight at 4°C in HB7167 at a 1:1,000 dilution. Following washing, the membrane was incubated in secondary antibody (1:10,000 dilution, Polyclonal goat anti-mouse HRP conjugated, Sigma, A3682) for 2hrs. For more detail please see our Western blotting protocol. Detection was accomplished using Clarity Western ECL substrate (BioRad, 1705061) and a Licor Odyssey Fc imaging system (ECL channel: 5 min exposure, 700nm channel: 30 sec exposure). Following imaging the membrane was stripped with two changes of stripping buffer (HB7756) before being washed, blocked for 2 hours in 5% non-fat dry milk and incubated in HB9177 (mouse monoclonal anti-GAPDH, 1:4,000 dilution, 0.25µg/ml) overnight at 4°C. Following washing the membrane was incubated in a 1:10,000 dilution of a polyclonal goat anti-mouse HRP conjugated secondary antibody (Sigma Aldrich A3682) for 2hrs and visualized again using Clarity Western ECL substrate (BioRad, 1705061) and a Licor Odyssey Fc imaging system (ECL channel: 4 min exposure, 700nm channel: 30 sec exposure).
Figure 10. Independent antibody validation of HB7167 and HB6589 in CPu.
The staining patterns of HB7167 and HB6589 completely overlap in rat caudate putamen (CPu) showing strong evidence for antibody specificity. Method: Rat brains were dissected and fixed overnight in 4% PFA before then being incubated in 30% sucrose (in PBS) until sunk (approx. 48hrs). A freezing microtome was used to cut 40µm horizontal slices before sections were incubated in 1% NaBH4 for 15 minutes. Sections were blocked in 0.05M glycine, 2% BSA and 3% goat serum before incubation overnight in HB7167 (1:1000 dilution), HB6498 (1:1000 dilution) and HB6589 (1:1000 dilution). This was followed by a two-hour incubation with secondary antibodies at a 1:300 dilution (polyclonal goat anti-mouse DyLight 550, Thermofisher, 84540, polyclonal donkey anti-chicken DyLight 488, Thermofisher, A78948 and polyclonal goat anti-rabbit DyLight 650, Thermofisher, 11804574). DAPI (HB0747) was used at 1µg/ml to visualise cell nuclei and sections were mounted using MightyMount Antifade Fluorescence Mounting Medium (hardset). For more detail please see our IHC(IF) protocol. The image was captured using a Leica DMI6000B inverted epifluorescence microscope. The image was captured using a 40x objective in a z-stack (0.3µm spacing). The image was captured as a tilescan using DAP (10ms exposure), L5 (15ms exposure), RHO (10ms exposure) and Y5 (12ms exposure) filters. The stack was deconvolved using Huygens professional then flattened using a maximum Z projection in ImageJ (Schindelin et al., 2012. Nat Methods, 9(7), 676–682).
Figure 11. Tyrosine hydroxylase staining of dopaminergic nuclei in rat midbrain visualized using biotin-streptavidin detection.
HB7167 staining visualizes the large population of dopaminergic neurons in the rat midbrain. Method: Rat brains were dissected and fixed overnight in 4% PFA before then being incubated in 70% ethanol and embedded in paraffin. Deparaffinization was carried out following cutting of the tissue block into 5µm sections. Antigen retrieval was carried out using citrate buffer (HB8687) at 95°C for 20 minutes before sections were blocked in 1% BSA, 10% serum. HB7167 was incubated overnight (4°C) at 2µg/ml (1:500 dilution). Following washing and peroxide blocking with 0.3% H2O2, the sections were incubated in HB11345 (goat anti-mouse H&L biotin antibody) for 1 hour at room temperature (1:300 dilution). Following subsequent washes the sections were incubated in HB5255 (Streptavidin HRP) for 30 minutes at room temperature (1:500 dilution). The reaction was developed using DAB (HB0687) and counterstained using hematoxylin (HB6189) before sections were dehydrated and mounted using DPX. For more details, please see our paraffin embedded immunohistochemistry protocol. Images were taken on a standard widefield microscope using brightfield illumination and a 5x objective.
Rat midbrain stained by HB7167 for tyrosine hydroxylase visualising dopaminergic neurons of the midbrain. Method: Rat brains were dissected and fixed overnight in 4% PFA before then being incubated in 30% sucrose (in PBS) until sunk (approx. 48hrs). A freezing microtome was used to cut 40µm horizontal slices before sections were incubated in 1% NaBH4 for 15 minutes. Sections were blocked in 0.05M glycine, 2% BSA and 3% goat serum before incubation overnight in HB7167 (1:1,000 dilution). This was followed by a two-hour incubation with secondary antibody at a 1:300 dilution (polyclonal goat anti-mouse DyLight 550, Thermofisher, 84540). DAPI (HB0747) was used at 1µg/ml to visualise cell nuclei and sections were mounted using MightyMount Antifade Fluorescence Mounting Medium (hardset). For more detail please see our IHC(IF) protocol. The image was captured using a Leica DMI6000B inverted epifluorescence microscope. The image was captured using a 40x objective in a z-stack (0.3µm spacing). The image was captured as a tilescan using DAP and L5 filters with the following exposures respectively: 30ms and 7mss. The stack was deconvolved using Huygens professional then flattened using a maximum Z projection in ImageJ (Schindelin et al., 2012. Nat Methods, 9(7), 676–682).
Figure 2. Tyrosine hydroxylase expressing dopaminergic projections to the caudate putamen.
Rat midbrain fibres stained by HB7167 for tyrosine hydroxylase to visualise dopaminergic fibres alongside HB6498 to stain NeuN. Method: Rat brains were dissected and fixed overnight in 4% PFA before then being incubated in 30% sucrose (in PBS) until sunk (approx. 48hrs). A freezing microtome was used to cut 40µm horizontal slices before sections were incubated in 1% NaBH4 for 15 minutes. Sections were blocked in 0.05M glycine, 2% BSA and 3% goat serum before incubation overnight in HB7167 (1:1,000 dilution) and HB6498 (1:1,000 dilution). This was followed by a two-hour incubation with secondary antibodies at a 1:300 dilution (polyclonal goat anti-mouse DyLight 550, Thermofisher, 84540 and polyclonal goat anti-rabbit DyLight 650, Thermofisher, 11804574). DAPI (HB0747) was used at 1µg/ml to visualise cell nuclei and sections were mounted using MightyMount Antifade Fluorescence Mounting Medium (hardset). For more detail please see our IHC(IF) protocol. The image was captured using a Leica DMI6000B inverted epifluorescence microscope. The image was captured using a 40x objective in a z-stack (0.62µm spacing). The image was captured as a tilescan using DAP, RHO and Y5 filters with the following exposures respectively: 49ms, 10ms and 12ms. The stack was deconvolved using Huygens professional then flattened using a maximum Z projection in ImageJ (Schindelin et al., 2012. Nat Methods, 9(7), 676–682).
Figure 3. Concentration response of HB7167 staining in paraffin embedded horizontal rat brain sections.
HB7167 stains dopaminergic terminals in rat striatum and midbrain dopaminergic fibres with an extremely high signal/noise ratio at dilutions as low as 1:2,000 (0.5µg/ml). Method: Rat brains were dissected and fixed overnight in 4% PFA before then being incubated in 70% ethanol and embedded in paraffin. Deparaffinization was carried out following cutting of the tissue block into 5µm sections. Antigen retrieval was carried out using citrate buffer (HB8687) at 95°C for 20 minutes before sections were blocked in 1% BSA, 10% serum. HB7167 was incubated overnight (4°C) at concentrations ranging from 4 µg/ml (1:250 dilution) to 0.5µg/ml (1:2,000 dilution). Following washing and peroxide blocking with 0.3% H2O2, the sections were incubated in HB11345 (goat anti-mouse H&L biotin antibody) for 1 hour at room temperature (1:300 dilution). Following subsequent washes, the sections were incubated in HB5255 (Streptavidin HRP) for 30 minutes at room temperature (1:500 dilution). The reaction was developed using DAB (HB0687) and counterstained using hematoxylin (HB6189) before sections were dehydrated and mounted using DPX. For more details, please see our paraffin embedded immunohistochemistry protocol. Images were taken on a standard widefield microscope using brightfield illumination and either 5x or 40x objectives.
Figure 4. Tyrosine hydroxylase expression in various tissue lysates and preparations (MES buffered Bis-Tris gel).
HB7167 revealed a ≈72kDa band associated with tyrosine hydroxylase only in neural tissue samples. Please note tyrosine hydroxylase runs at a higher apparent molecular weight in MES buffered Tris-Bis gels. Method: mouse brain and rat brain membrane (P2) and cytosol fractions were prepared following previous work (Molnar et al., 1993. Neuroscience 53:307-326) from freshly collected adult brains. Other tissue lysates were prepared following established protocols from freshly dissected tissue (see our guide on WB sample preparation). Samples were loaded (20µg / lane) onto a 4-20% bis-tris acrylamide gel alongside a protein ladder before being run at 180V for 45 minutes. Wet transfer to a PVDF membrane was completed in 90 minutes using 400mA. The membrane was blocked for 2hrs in 5% non-fat dry milk before being incubated overnight at 4°C in HB7167 at a 1:1,000 dilution. Following washing, the membrane was incubated in secondary antibody (1:10,000 dilution, Polyclonal goat anti-mouse HRP conjugated, Sigma, A3682) for 2hrs. For more detail please see our Western blotting protocol. Detection was accomplished using Clarity Western ECL substrate (BioRad, 1705061) and a Licor Odyssey Fc imaging system (ECL channel: 5 min exposure, 700nm channel: 30 sec exposure). Following imaging the membrane was stripped with two changes of stripping buffer (HB7756) before being washed, blocked for 2 hours in 5% non-fat dry milk and incubated in HB9177 (mouse monoclonal anti-GAPDH, 1:4,000 dilution, 0.25µg/ml) overnight at 4°C. Following washing the membrane was incubated in a 1:10,000 dilution of a polyclonal goat anti-mouse HRP conjugated secondary antibody (Sigma Aldrich A3682) for 2hrs and visualised again using Clarity Western ECL substrate (BioRad, 1705061) and a Licor Odyssey Fc imaging system (ECL channel: 4 min exposure, 700nm channel: 30 sec exposure).
Figure 5. Independent antibody validation of HB7167 and HB6589 in dopaminergic midbrain neurons.
The staining patterns of HB7167 and HB6589 completely overlap in rat midbrain dopaminergic neurons showing strong evidence for antibody specificity. Method: Rat brains were dissected and fixed overnight in 4% PFA before then being incubated in 30% sucrose (in PBS) until sunk (approx. 48hrs). A freezing microtome was used to cut 40µm horizontal slices before sections were incubated in 1% NaBH4 for 15 minutes. Sections were blocked in 0.05M glycine, 2% BSA and 3% goat serum before incubation overnight in HB7167 (1:1000 dilution) and HB6589 (1:1000 dilution). This was followed by a two-hour incubation with secondary antibodies at a 1:300 dilution (polyclonal goat anti-mouse DyLight 550, Thermofisher, 84540 and polyclonal donkey anti-chicken DyLight 488, Thermofisher, A78948). DAPI (HB0747) was used at 1µg/ml to visualise cell nuclei and sections were mounted using MightyMount Antifade Fluorescence Mounting Medium (hardset). For more detail please see our IHC(IF) protocol. The image was captured using a Leica DMI6000B inverted epifluorescence microscope. The image was captured using a 100x objective in a z-stack (0.22µm spacing). The image was captured as a tilescan using A4 (72ms @1x gain exposure), GFP (70ms @ 1x gain exposure) and Y3 (10ms @ 3.3x gain exposure) filters. The stack was deconvolved using Huygens professional then flattened using a maximum Z projection in ImageJ (Schindelin et al., 2012. Nat Methods, 9(7), 676–682).
Figure 6. Concentration response of HB7167 staining in rat striatum.
HB7167 stains rat dopaminergic terminals in the striatum with high signal to noise at dilutions down to 1:8,000. Method: Rat brains were dissected and fixed overnight in 4% PFA before then being incubated in 30% sucrose (in PBS) until sunk (approx. 48hrs). A freezing microtome was used to cut 40µm horizontal slices before sections were incubated in 1% NaBH4 for 15 minutes. Sections were blocked in 0.05M glycine, 2% BSA and 3% goat serum before incubation overnight in HB7167 and HB6498 (1:1,000 (1µg/ml) to 1:8,000 (0.125µg/ml) dilutions). This was followed by a two-hour incubation with secondary antibody at a 1:300 dilution (polyclonal goat anti-mouse DyLight 550, Thermofisher, 84540 and polyclonal goat anti-rabbit DyLight 650, Thermofisher 11804574). DAPI (HB0747) was used at 1µg/ml to visualise cell nuclei and sections were mounted using MightyMount Antifade Fluorescence Mounting Medium (hardset). For more detail please see our IHC(IF) protocol.
Images were captured using a Leica DMI6000B inverted epifluorescence microscope and a 100x objective in a z-stack (0.6µm spacing). Stacks were deconvolved using Huygens professional then flattened using a maximum Z projection in ImageJ (Schindelin et al., 2012. Nat Methods, 9(7), 676–682). Exposure times were as follows:
• 1:1,000 – DAP: 10ms, RHO: 42ms, Y5: 27ms
• 1:2,000 – DAP: 10ms, RHO: 118.9ms, Y5: 92ms
• 1:4,000 – DAP: 10ms, RHO: 100.2ms, Y5: 139ms
• 1:8,000 – DAP: 10ms, RHO: 128.2ms, Y5: 161ms
Figure 7. Tyrosine hydroxylase staining in rat striatum visualized using HB7167.
HB7167 effectively stains the dense network of dopaminergic terminals in the caudate putamen of paraffin embedded horizontal rat brain sections. Method: Rat brains were dissected and fixed overnight in 4% PFA before then being incubated in 70% ethanol and embedded in paraffin. Deparaffinization was carried out following cutting of the tissue block into 5µm sections. Antigen retrieval was carried out using citrate buffer (HB8687) at 95°C for 20 minutes before sections were blocked in 1% BSA, 10% serum. HB7167 was incubated overnight (4°C) at 1µg/ml (1:1,000 dilution). Following washing and peroxide blocking with 0.3% H2O2, the sections were incubated in HB11345 (goat anti-mouse H&L biotin antibody) for 1 hour at room temperature (1:300 dilution). Following subsequent washes the sections were incubated in HB5255 (Streptavidin HRP) for 30 minutes at room temperature (1:500 dilution). The reaction was developed using DAB (HB0687) and counterstained using hematoxylin (HB6189) before sections were dehydrated and mounted using DPX. For more details, please see our paraffin embedded immunohistochemistry protocol. Images were taken on a standard widefield microscope using brightfield illumination and a 5x objective.
Figure 8. Independent antibody validation of HB7167 and HB6589 in dopaminergic projections.
The staining patterns of HB7167 and HB6589 completely overlap in rat dopaminergic projections showing strong evidence for antibody specificity. Method: Rat brains were dissected and fixed overnight in 4% PFA before then being incubated in 30% sucrose (in PBS) until sunk (approx. 48hrs). A freezing microtome was used to cut 40µm horizontal slices before sections were incubated in 1% NaBH4 for 15 minutes. Sections were blocked in 0.05M glycine, 2% BSA and 3% goat serum before incubation overnight in HB7167 (1:1,000 dilution) and HB6589 (1:1,000 dilution). This was followed by a two-hour incubation with secondary antibodies at a 1:300 dilution (polyclonal goat anti-mouse DyLight 550, Thermofisher, 84540 and polyclonal donkey anti-chicken DyLight 488, Thermofisher, A78948). DAPI (HB0747) was used at 1µg/ml to visualise cell nuclei and sections were mounted using MightyMount Antifade Fluorescence Mounting Medium (hardset). For more detail please see our IHC(IF) protocol. The image was captured using a Leica DMI6000B inverted epifluorescence microscope. The image was captured using a 40x objective in a z-stack (0.62µm spacing). The image was captured as a tilescan using DAP (49ms exposure), L5 (15ms exposure) and RHO (10ms exposure) filters. The stack was deconvolved using Huygens professional then flattened using a maximum Z projection in ImageJ (Schindelin et al., 2012. Nat Methods, 9(7), 676–682).
Figure 9. Tyrosine hydroxylase expression in various tissue lysates and preparations.
HB7167 revealed the ≈62kDa band associated with tyrosine hydroxylase only in neural tissue samples. Method: mouse brain and rat brain membrane (P2) and cytosol fractions were prepared following previous work (Molnar et al., 1993. Neuroscience 53:307-326) from freshly collected adult brains. Other tissue lysates were prepared following established protocols from freshly dissected tissue (see our guide on WB sample preparation). Samples were loaded (20µg / lane) onto a 12% acrylamide gel alongside a protein ladder before being run at 60V for 30 minutes followed by 160V for 60 minutes. Wet transfer to a PVDF membrane was completed in 90 minutes using 400mA. The membrane was blocked for 2hrs in 5% non-fat dry milk before being incubated overnight at 4°C in HB7167 at a 1:1,000 dilution. Following washing, the membrane was incubated in secondary antibody (1:10,000 dilution, Polyclonal goat anti-mouse HRP conjugated, Sigma, A3682) for 2hrs. For more detail please see our Western blotting protocol. Detection was accomplished using Clarity Western ECL substrate (BioRad, 1705061) and a Licor Odyssey Fc imaging system (ECL channel: 5 min exposure, 700nm channel: 30 sec exposure). Following imaging the membrane was stripped with two changes of stripping buffer (HB7756) before being washed, blocked for 2 hours in 5% non-fat dry milk and incubated in HB9177 (mouse monoclonal anti-GAPDH, 1:4,000 dilution, 0.25µg/ml) overnight at 4°C. Following washing the membrane was incubated in a 1:10,000 dilution of a polyclonal goat anti-mouse HRP conjugated secondary antibody (Sigma Aldrich A3682) for 2hrs and visualized again using Clarity Western ECL substrate (BioRad, 1705061) and a Licor Odyssey Fc imaging system (ECL channel: 4 min exposure, 700nm channel: 30 sec exposure).
Figure 10. Independent antibody validation of HB7167 and HB6589 in CPu.
The staining patterns of HB7167 and HB6589 completely overlap in rat caudate putamen (CPu) showing strong evidence for antibody specificity. Method: Rat brains were dissected and fixed overnight in 4% PFA before then being incubated in 30% sucrose (in PBS) until sunk (approx. 48hrs). A freezing microtome was used to cut 40µm horizontal slices before sections were incubated in 1% NaBH4 for 15 minutes. Sections were blocked in 0.05M glycine, 2% BSA and 3% goat serum before incubation overnight in HB7167 (1:1000 dilution), HB6498 (1:1000 dilution) and HB6589 (1:1000 dilution). This was followed by a two-hour incubation with secondary antibodies at a 1:300 dilution (polyclonal goat anti-mouse DyLight 550, Thermofisher, 84540, polyclonal donkey anti-chicken DyLight 488, Thermofisher, A78948 and polyclonal goat anti-rabbit DyLight 650, Thermofisher, 11804574). DAPI (HB0747) was used at 1µg/ml to visualise cell nuclei and sections were mounted using MightyMount Antifade Fluorescence Mounting Medium (hardset). For more detail please see our IHC(IF) protocol. The image was captured using a Leica DMI6000B inverted epifluorescence microscope. The image was captured using a 40x objective in a z-stack (0.3µm spacing). The image was captured as a tilescan using DAP (10ms exposure), L5 (15ms exposure), RHO (10ms exposure) and Y5 (12ms exposure) filters. The stack was deconvolved using Huygens professional then flattened using a maximum Z projection in ImageJ (Schindelin et al., 2012. Nat Methods, 9(7), 676–682).
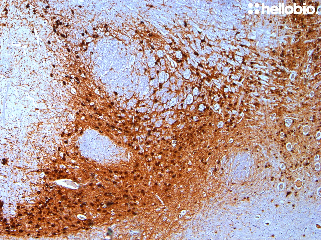
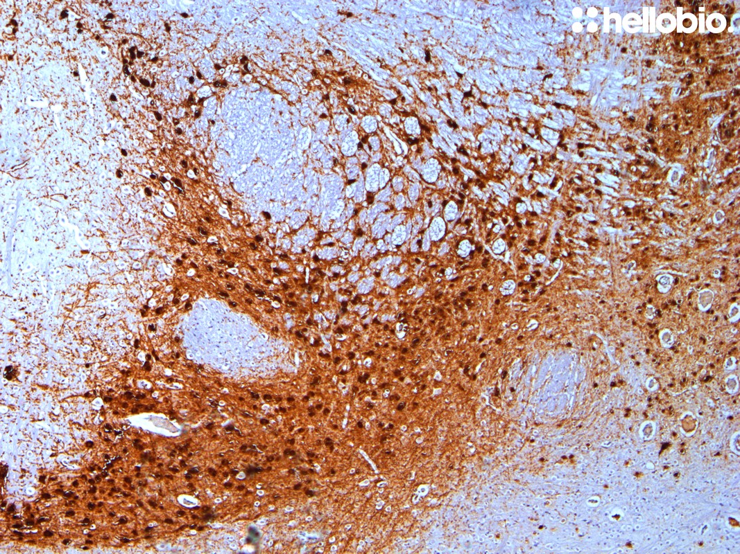
Figure 11. Tyrosine hydroxylase staining of dopaminergic nuclei in rat midbrain visualized using biotin-streptavidin detection.
HB7167 staining visualizes the large population of dopaminergic neurons in the rat midbrain. Method: Rat brains were dissected and fixed overnight in 4% PFA before then being incubated in 70% ethanol and embedded in paraffin. Deparaffinization was carried out following cutting of the tissue block into 5µm sections. Antigen retrieval was carried out using citrate buffer (HB8687) at 95°C for 20 minutes before sections were blocked in 1% BSA, 10% serum. HB7167 was incubated overnight (4°C) at 2µg/ml (1:500 dilution). Following washing and peroxide blocking with 0.3% H2O2, the sections were incubated in HB11345 (goat anti-mouse H&L biotin antibody) for 1 hour at room temperature (1:300 dilution). Following subsequent washes the sections were incubated in HB5255 (Streptavidin HRP) for 30 minutes at room temperature (1:500 dilution). The reaction was developed using DAB (HB0687) and counterstained using hematoxylin (HB6189) before sections were dehydrated and mounted using DPX. For more details, please see our paraffin embedded immunohistochemistry protocol. Images were taken on a standard widefield microscope using brightfield illumination and a 5x objective.
Product information
Immunogen
PC12 cell derived tyrosine hydroxylase
Clone number
LNC1
Isotype
IgG1
Purification
Protein G affinity chromatography
Concentration
1 mg/ml
Formulation
Lyophilised. When reconstituted contains 10 mM Tris (pH7.4), 50 mM NaCl, 1% recombinant BSA and 0.065% Sodium Azide
Predicted species reactivity
Mouse, Rat, Human, Zebrafish, Chicken
Tested species reactivity
Mouse, Rat
Tested applications
Applications
IHC-P, WB, IHC(IF)
Western blot optimal concentration
1:1000 (1µg/ml) as tested in a rat brain cytosol preparation
IHC(IF) optimal concentration
1:2000 (0.5µg/ml) as tested in paraformaldehyde fixed free-floating rat striatal brain sections
IHC-P optimal concentration
1:1000 (1µg/ml) as tested in paraffin embedded rat horizontal brain sections using streptavidin-HRP detection system.
Positive control
Tissue known to have a high expression of catecholaminergic neurones (e.g. striatum or substantia nigra). PC-3 and SK-BR-3 cell lines also show tyrosine hydroxylase expression.
Negative control
Areas of the brain with low expression of catecholaminergic neurones (e.g. cortex). Most cells lines do not express TH (e.g. HEK293, HeLa, SH-SY5Y).
Tyrosine hydroxylase has 6 isoforms produced by alternative splicing:
Isoform 3 / TH type 4 (canonical) - 528aa, 58.6kDa.
Isoform 1 / TH type 3 - 524aa, 58.1kda,
Isoform 2 / TH type 1/HTH-1 - 497aa, 55,6kDa,
Isoform 4 / TH type 2/hTH-Delta2 - 501aa, 56.0kda,
Isoform 5 / hTH-Delta,2,8,9 - 407aa, 45.3kDa,
Isoform 6 / hTH-Delta1b,2,8,9 - 403aa 44.9kDa
Expression
Mainly expressed in the dopaminergic, noradrenergic and other catecholingergic neurones in the brain and adrenal glands. There is also lower peripheral expression in a variety of tissues.
Subcellular expression
Expression is enriched in axon terminals alongside cytosolic and perinuclear expression.
Target function
Tyrosine hydroxylase is the main rate limiting enzyme in producing catecholamines. The enzyme catalyses the conversion of L-tyrosine to L-DOPA which can then be converted by other enzymes into dopamine and noradrenaline.
Processing
None
Post translational modifications
Subject to phosphorylation on Ser19, Ser62, Ser71 and Ser502.
Homology (compared to human)
Mouse and rat show 82.8% and 83.7% identity to human tyrosine hydroxylase respectively in a BLAST search.
Similar proteins
The following proteins were identified as being similar in a BLAST search:
Phenylalanine-4-hydroxylase – 52.8% identity
Tryptophan-5-hydroxylase 1 – 50.1% identity
Tryptophan-5-hydroxylase 2 – 52.1% identity
Storage & Handling
Storage instructions
-20°C then use reconstitution advice
Reconstitution advice
Upon receipt store at either -20°C or -80°C.
For 100μg packs either:
Reconstitute with 100μl dH2O and store at 4°C
Reconstitute with 50μl dH2O and 50μl glycerol then store at -20°C
Reconstitute with 100μl dH2O, aliquot then snap freeze and store at -80°C
For 25μg packs either:
Reconstitute with 25μl dH2O and store at 4°C
Reconstitute with 12.5μl dH2O and 12.5μl glycerol then store at -20°C
Reconstitute with 25μl dH2O, aliquot then snap freeze and store at -80°C
For more information read our guide on the best care for your product. Take care when opening as the precipitate is extremely light and can easily be lost if disturbed. When reconstituting make sure that the antibody is thoroughly dissolved by pipetting up and down before giving the antibody a brief spin at 10,000g to make sure that all material is recovered and at the bottom of the tube.
Important
This product is for RESEARCH USE ONLY and is not intended for therapeutic or diagnostic use. Not for human or veterinary use
What counterstains do you recommend for use in ICC and IHC with this tyrosine hydroxylase antibody?
We recommend using either DAPI or Hoechst 33342 to label cell nuclei. In some experiments it is also helpful to label actin filaments in the cytoskeleton using a Phalloidin conjugate such as FITC Phalloidin or Rhodamine Phalloidin-TRITC.
What guarantee do you have that my tyrosine hydroxylase antibody will perform as expected?
We guarantee that your tyrosine hydroxylase antibody will work for the applications and species we list on the datasheet. If the antibody fails to perform as expected then we are happy to offer a 100% refund guarantee. For more details please see our guarantee policy.
What protocols are available for use with this tyrosine hydroxylase antibody
We have made a comprehensive collection of protocols that we have used in our experiments to validate this tyrosine hydroxylase antibody.
Will my tyrosine hydroxylase antibody work against species that have not been listed on the datasheet?
A species not being listed doesn’t mean that the tyrosine hydroxylase antibody won’t work, just that we haven’t tested it. If you test one of our antibodies in a new species please let us know (positive or negative)!
What does tyrosine hydroxylase do?
Tyrosine hydroxylase (TH) is a key enzyme in the catecholamine biosynthesis pathway. It catalyzes the first and rate-limiting step in the synthesis of catecholamine neurotransmitters, such as dopamine, norepinephrine (noradrenaline), and epinephrine (adrenaline). These neurotransmitters play essential roles in a wide array of physiological processes, including motor control and mood regulation.
What is tyrosine hydroxylase a marker for?
Tyrosine hydroxylase (TH) is a specific marker for catecholaminergic neurons , which include neurons that produce dopamine, norepinephrine (noradrenaline), and epinephrine (adrenaline). TH principally stains:
Dopamine neurons of the substantia nigra, ventral tegmental area and hypothalamus,
Noradrenergic neurons of the locus coeruleus,
Adrenergic neurons of the medulla oblongata.
What mounting media do you recommend to use with this antibody?
We recommend using one of our high performance mounting medias, supplied as either hardset or aqeous with a range of counterstains:
Antibody to tyrosine hydroxylase (TH) - the rate limiting enzyme in catecholamine synthesis and used as a marker for catecholaminergic (dopaminergic and noradrenergic) neurones in the CNS. Part of the ValidAb™ range of highly validated, data-rich antibodies.
Antibody to tyrosine hydroxylase (TH) - the rate limiting enzyme in catecholamine synthesis and used as a marker for catecholaminergic (dopaminergic and noradrenergic) neurones in the CNS. Part of the ValidAb™ range of highly validated, data-rich antibodies.