Biotin binding protein conjugated with horseradish peroxidase (HRP). Used to detect biotin labelled molecules such as nucleic acids, antibodies, and other proteins. Biotinylated antibodies are bound with high affinity by Streptavidin-HRP, enabling colorimetric detection in IHC or chemiluminescent detection in Western blots.
Description
Biotin binding protein conjugated with HRP for colormetric detection in IHC and chemiluminescent detection in WB
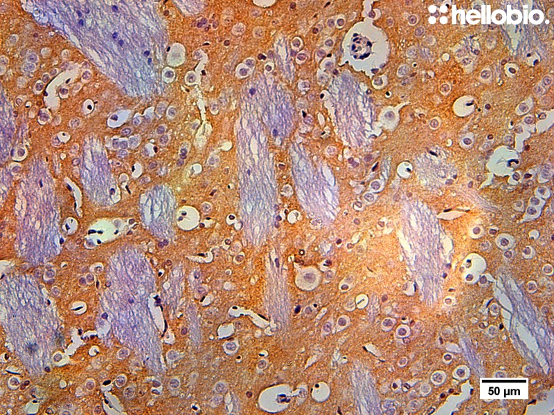
Figure 1. Concentration response of HB5255 Streptavidin-HRP in paraffin embedded rat brain sections stained for tyrosine hydroxylase
HB5255 (Streptavidin-HRP) effectively stains dopaminergic terminals and neurons in paraffin embedded rat brain sections at dilutions as low as 1:2,000 when used in combination with HB11036 (goat anti-rabbit H&L biotin antibody) and HB6605 (rabbit polyclonal anti-tyrosine hydroxylase antibody). Method: Rat brains were dissected and fixed overnight in 4% PFA before then being incubated in 70% ethanol and embedded in paraffin. Deparaffinization was carried out following cutting of the tissue block into 5µm sections. Antigen retrieval was carried out using citrate buffer (HB8687) at 95°C for 20 minutes before sections were blocked in 1% BSA, 10% serum. HB6605 was incubated overnight (4°C) at a 1:500 dilution. Following washing and peroxide blocking with 0.3% H2O2, the sections were incubated in HB11036 (goat anti-rabbit H&L biotin antibody) for 1 hour at room temperature. Following subsequent washes, the sections were incubated in HB5255 (Streptavidin HRP) for 30 minutes at room temperature (dilutions ranging from 1:250 to 1:2,000). The reaction was developed using DAB (HB0687) and counterstained using hematoxylin (HB6189) before sections were dehydrated and mounted using DPX. For more details please see our paraffin embedded immunohistochemistry protocol. Images were taken on a standard widefield microscope using brightfield illumination and either 5x or 20x objectives.
Figure 2. Tyrosine hydroxylase staining in rat striatum visualized using biotin-streptavidin detection.
HB6605 (rabbit polyclonal anti-tyrosine hydroxylase antibody) in combination with HB11036 (goat anti-rabbit H&L biotin antibody) and HB5255 (Streptavidin HRP) was used to stain the dense network of dopaminergic terminals in the rat caudate putamen. Method: Rat brains were dissected and fixed overnight in 4% PFA before then being incubated in 70% ethanol and embedded in paraffin. Deparaffinization was carried out following cutting of the tissue block into 5µm sections. Antigen retrieval was carried out using citrate buffer (HB8687) at 95°C for 20 minutes before sections were blocked in 1% BSA, 10% serum. HB6605 was incubated overnight (4°C) at a 1:500 dilution. Following washing and peroxide blocking with 0.3% H2O2, the sections were incubated in HB11036 (goat anti-rabbit H&L biotin antibody) for 1 hour at room temperature. Following subsequent washes, the sections were incubated in HB5255 (Streptavidin HRP) for 30 minutes at room temperature (1:500 dilution). The reaction was developed using DAB (HB0687) and counterstained using hematoxylin (HB6189) before sections were dehydrated and mounted using DPX. For more details please see our paraffin embedded immunohistochemistry protocol. Images were taken on a standard widefield microscope using brightfield illumination and a 5x objective.
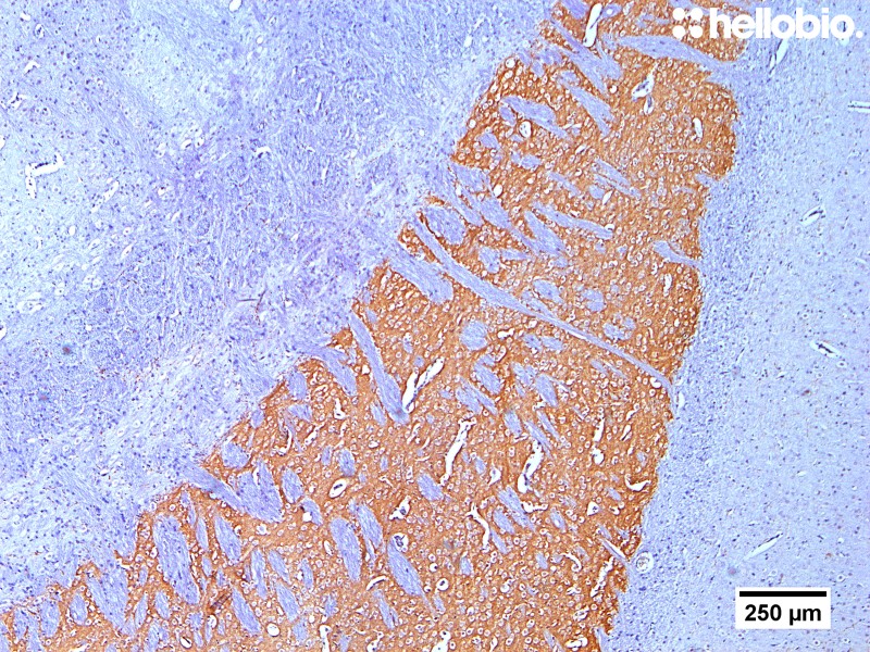
Figure 3. Tyrosine hydroxylase staining in rat striatum visualized using biotin-streptavidin detection.
HB6605 (rabbit polyclonal anti-tyrosine hydroxylase antibody) in combination with HB11036 (goat anti-rabbit H&L biotin antibody) and HB5255 (Streptavidin HRP) was used to stain dopaminergic terminals in the rat striatum. Method: Rat brains were dissected and fixed overnight in 4% PFA before then being incubated in 70% ethanol and embedded in paraffin. Deparaffinization was carried out following cutting of the tissue block into 5µm sections. Antigen retrieval was carried out using citrate buffer (HB8687) at 95°C for 20 minutes before sections were blocked in 1% BSA, 10% serum. HB6605 was incubated overnight (4°C) at a 1:500 dilution. Following washing and peroxide blocking with 0.3% H2O2, the sections were incubated in HB11036 (goat anti-rabbit H&L biotin antibody) for 1 hour at room temperature. Following subsequent washes, the sections were incubated in HB5255 (Streptavidin HRP) for 30 minutes at room temperature (1:2,000 dilution). The reaction was developed using DAB (HB0687) and counterstained using hematoxylin (HB6189) before sections were dehydrated and mounted using DPX. For more details please see our paraffin embedded immunohistochemistry protocol. Images were taken on a standard widefield microscope using brightfield illumination and a 5x objective.
Figure 4. Streptavidin-HRP used for detection in a sandwich ELISA for Amyloid Beta
Streptavidin-HRP was used at a 1:1000 dilution in an Amyloid Beta Sandwich ELISA. Method: Capture antibody was coated overnight in carbonate buffer before the plate was then blocked in 1% BSA in TBS. 1-42 β-Amyloid Peptide (HB9805) was diluted in blocking buffer and incubated for 1 hour before the plate was washed and incubated in detection antibody for 1 hour. Following washing, Streptavidin-HRP was incubated for 30 minutes at a 1:1000 dilution before the plate was washed and developed using High Sensitivity TMB ELISA Substrate (HB8566). For more information please see our ELISA Protocol
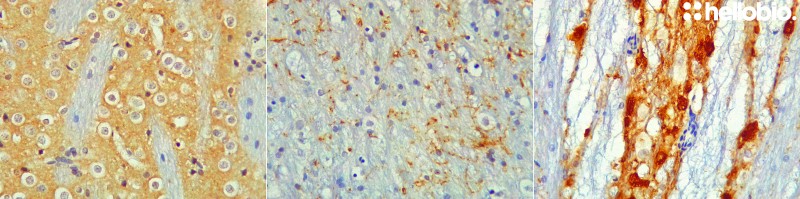
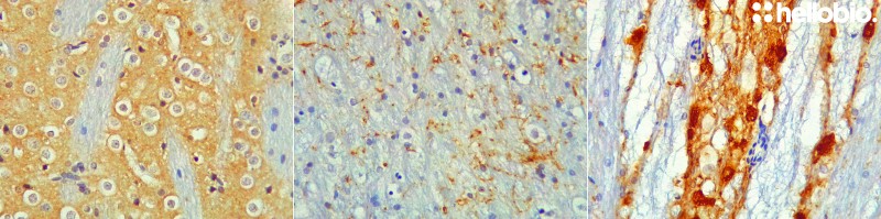
Figure 5. Tyrosine hydroxylase staining in rat brain visualized using biotin-streptavidin detection.
Tyrosine hydroxylase staining of dopaminergic terminals in the striatum (left panel), dopaminergic fibres projecting from the midbrain to striatum (middle panel) and dopaminergic nuclei in the midbrain (right panel). Imaging was carried out using HB6605 (rabbit polyclonal anti-tyrosine hydroxylase antibody) in combination with HB11036 (goat anti-rabbit H&L biotin antibody) and HB5255 (Streptavidin HRP). Method: Rat brains were dissected and fixed overnight in 4% PFA before then being incubated in 70% ethanol and embedded in paraffin. Deparaffinization was carried out following cutting of the tissue block into 5µm sections. Antigen retrieval was carried out using citrate buffer (HB8687) at 95°C for 20 minutes before sections were blocked in 1% BSA, 10% serum. HB6605 was incubated overnight (4°C) at a 1:500 dilution. Following washing and peroxide blocking with 0.3% H2O2, the sections were incubated in HB11036 (goat anti-rabbit H&L biotin antibody) for 1 hour at room temperature. Following subsequent washes, the sections were incubated in HB5255 (Streptavidin HRP) for 30 minutes at room temperature (1:500 dilution). The reaction was developed using DAB (HB0687) and counterstained using hematoxylin (HB6189) before sections were dehydrated and mounted using DPX. For more details please see our paraffin embedded immunohistochemistry protocol. Images were taken on a standard widefield microscope using brightfield illumination and a 40x objective.
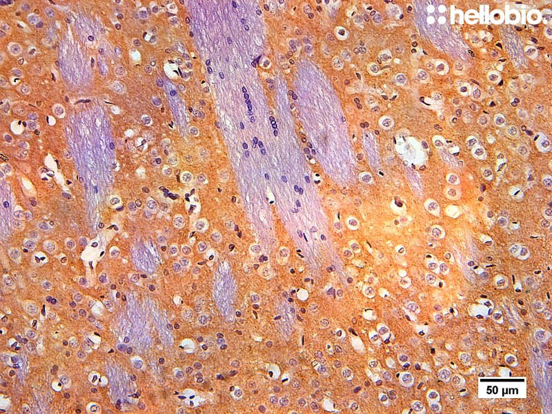
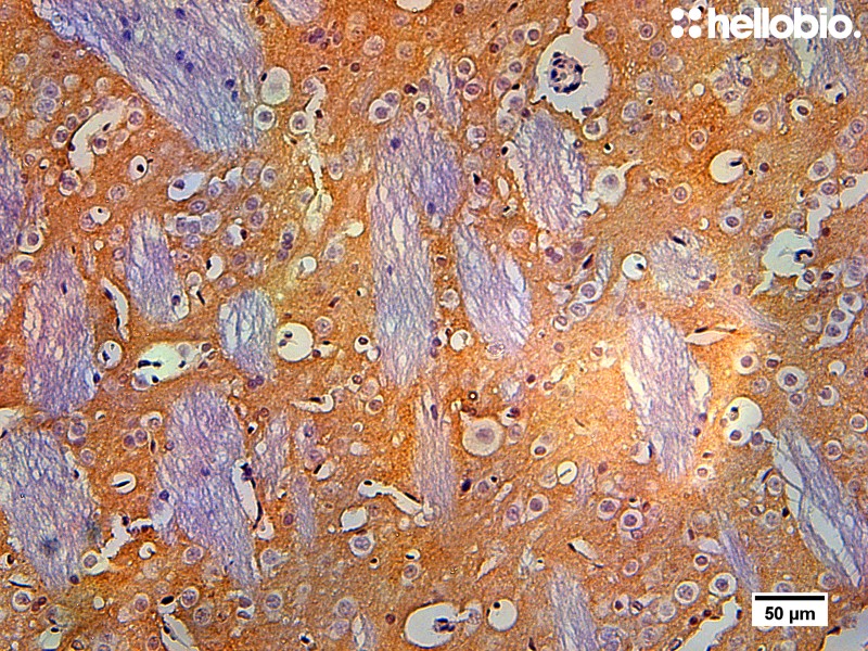
Figure 6. Tyrosine hydroxylase staining in rat striatum visualized using biotin-streptavidin detection.
HB6605 (rabbit polyclonal anti-tyrosine hydroxylase antibody) in combination with HB11036 (goat anti-rabbit H&L biotin antibody) and HB5255 (Streptavidin HRP) was used to stain dopaminergic terminals in the rat caudate putamen. Method: Rat brains were dissected and fixed overnight in 4% PFA before then being incubated in 70% ethanol and embedded in paraffin. Deparaffinization was carried out following cutting of the tissue block into 5µm sections. Antigen retrieval was carried out using citrate buffer (HB8687) at 95°C for 20 minutes before sections were blocked in 1% BSA, 10% serum. HB6605 was incubated overnight (4°C) at a 1:500 dilution. Following washing and peroxide blocking with 0.3% H2O2, the sections were incubated in HB11036 (goat anti-rabbit H&L biotin antibody) for 1 hour at room temperature. Following subsequent washes the sections were incubated in HB5255 (Streptavidin HRP) for 30 minutes at room temperature (1:1,000 dilution). The reaction was developed using DAB (HB0687) and counterstained using hematoxylin (HB6189) before sections were dehydrated and mounted using DPX. For more details please see our paraffin embedded immunohistochemistry protocol. Images were taken on a standard widefield microscope using brightfield illumination and a 20x objective.
Figure 1. Concentration response of HB5255 Streptavidin-HRP in paraffin embedded rat brain sections stained for tyrosine hydroxylase
HB5255 (Streptavidin-HRP) effectively stains dopaminergic terminals and neurons in paraffin embedded rat brain sections at dilutions as low as 1:2,000 when used in combination with HB11036 (goat anti-rabbit H&L biotin antibody) and HB6605 (rabbit polyclonal anti-tyrosine hydroxylase antibody). Method: Rat brains were dissected and fixed overnight in 4% PFA before then being incubated in 70% ethanol and embedded in paraffin. Deparaffinization was carried out following cutting of the tissue block into 5µm sections. Antigen retrieval was carried out using citrate buffer (HB8687) at 95°C for 20 minutes before sections were blocked in 1% BSA, 10% serum. HB6605 was incubated overnight (4°C) at a 1:500 dilution. Following washing and peroxide blocking with 0.3% H2O2, the sections were incubated in HB11036 (goat anti-rabbit H&L biotin antibody) for 1 hour at room temperature. Following subsequent washes, the sections were incubated in HB5255 (Streptavidin HRP) for 30 minutes at room temperature (dilutions ranging from 1:250 to 1:2,000). The reaction was developed using DAB (HB0687) and counterstained using hematoxylin (HB6189) before sections were dehydrated and mounted using DPX. For more details please see our paraffin embedded immunohistochemistry protocol. Images were taken on a standard widefield microscope using brightfield illumination and either 5x or 20x objectives.
Figure 2. Tyrosine hydroxylase staining in rat striatum visualized using biotin-streptavidin detection.
HB6605 (rabbit polyclonal anti-tyrosine hydroxylase antibody) in combination with HB11036 (goat anti-rabbit H&L biotin antibody) and HB5255 (Streptavidin HRP) was used to stain the dense network of dopaminergic terminals in the rat caudate putamen. Method: Rat brains were dissected and fixed overnight in 4% PFA before then being incubated in 70% ethanol and embedded in paraffin. Deparaffinization was carried out following cutting of the tissue block into 5µm sections. Antigen retrieval was carried out using citrate buffer (HB8687) at 95°C for 20 minutes before sections were blocked in 1% BSA, 10% serum. HB6605 was incubated overnight (4°C) at a 1:500 dilution. Following washing and peroxide blocking with 0.3% H2O2, the sections were incubated in HB11036 (goat anti-rabbit H&L biotin antibody) for 1 hour at room temperature. Following subsequent washes, the sections were incubated in HB5255 (Streptavidin HRP) for 30 minutes at room temperature (1:500 dilution). The reaction was developed using DAB (HB0687) and counterstained using hematoxylin (HB6189) before sections were dehydrated and mounted using DPX. For more details please see our paraffin embedded immunohistochemistry protocol. Images were taken on a standard widefield microscope using brightfield illumination and a 5x objective.
Figure 3. Tyrosine hydroxylase staining in rat striatum visualized using biotin-streptavidin detection.
HB6605 (rabbit polyclonal anti-tyrosine hydroxylase antibody) in combination with HB11036 (goat anti-rabbit H&L biotin antibody) and HB5255 (Streptavidin HRP) was used to stain dopaminergic terminals in the rat striatum. Method: Rat brains were dissected and fixed overnight in 4% PFA before then being incubated in 70% ethanol and embedded in paraffin. Deparaffinization was carried out following cutting of the tissue block into 5µm sections. Antigen retrieval was carried out using citrate buffer (HB8687) at 95°C for 20 minutes before sections were blocked in 1% BSA, 10% serum. HB6605 was incubated overnight (4°C) at a 1:500 dilution. Following washing and peroxide blocking with 0.3% H2O2, the sections were incubated in HB11036 (goat anti-rabbit H&L biotin antibody) for 1 hour at room temperature. Following subsequent washes, the sections were incubated in HB5255 (Streptavidin HRP) for 30 minutes at room temperature (1:2,000 dilution). The reaction was developed using DAB (HB0687) and counterstained using hematoxylin (HB6189) before sections were dehydrated and mounted using DPX. For more details please see our paraffin embedded immunohistochemistry protocol. Images were taken on a standard widefield microscope using brightfield illumination and a 5x objective.
Figure 4. Streptavidin-HRP used for detection in a sandwich ELISA for Amyloid Beta
Streptavidin-HRP was used at a 1:1000 dilution in an Amyloid Beta Sandwich ELISA. Method: Capture antibody was coated overnight in carbonate buffer before the plate was then blocked in 1% BSA in TBS. 1-42 β-Amyloid Peptide (HB9805) was diluted in blocking buffer and incubated for 1 hour before the plate was washed and incubated in detection antibody for 1 hour. Following washing, Streptavidin-HRP was incubated for 30 minutes at a 1:1000 dilution before the plate was washed and developed using High Sensitivity TMB ELISA Substrate (HB8566). For more information please see our ELISA Protocol
Figure 5. Tyrosine hydroxylase staining in rat brain visualized using biotin-streptavidin detection.
Tyrosine hydroxylase staining of dopaminergic terminals in the striatum (left panel), dopaminergic fibres projecting from the midbrain to striatum (middle panel) and dopaminergic nuclei in the midbrain (right panel). Imaging was carried out using HB6605 (rabbit polyclonal anti-tyrosine hydroxylase antibody) in combination with HB11036 (goat anti-rabbit H&L biotin antibody) and HB5255 (Streptavidin HRP). Method: Rat brains were dissected and fixed overnight in 4% PFA before then being incubated in 70% ethanol and embedded in paraffin. Deparaffinization was carried out following cutting of the tissue block into 5µm sections. Antigen retrieval was carried out using citrate buffer (HB8687) at 95°C for 20 minutes before sections were blocked in 1% BSA, 10% serum. HB6605 was incubated overnight (4°C) at a 1:500 dilution. Following washing and peroxide blocking with 0.3% H2O2, the sections were incubated in HB11036 (goat anti-rabbit H&L biotin antibody) for 1 hour at room temperature. Following subsequent washes, the sections were incubated in HB5255 (Streptavidin HRP) for 30 minutes at room temperature (1:500 dilution). The reaction was developed using DAB (HB0687) and counterstained using hematoxylin (HB6189) before sections were dehydrated and mounted using DPX. For more details please see our paraffin embedded immunohistochemistry protocol. Images were taken on a standard widefield microscope using brightfield illumination and a 40x objective.
Figure 6. Tyrosine hydroxylase staining in rat striatum visualized using biotin-streptavidin detection.
HB6605 (rabbit polyclonal anti-tyrosine hydroxylase antibody) in combination with HB11036 (goat anti-rabbit H&L biotin antibody) and HB5255 (Streptavidin HRP) was used to stain dopaminergic terminals in the rat caudate putamen. Method: Rat brains were dissected and fixed overnight in 4% PFA before then being incubated in 70% ethanol and embedded in paraffin. Deparaffinization was carried out following cutting of the tissue block into 5µm sections. Antigen retrieval was carried out using citrate buffer (HB8687) at 95°C for 20 minutes before sections were blocked in 1% BSA, 10% serum. HB6605 was incubated overnight (4°C) at a 1:500 dilution. Following washing and peroxide blocking with 0.3% H2O2, the sections were incubated in HB11036 (goat anti-rabbit H&L biotin antibody) for 1 hour at room temperature. Following subsequent washes the sections were incubated in HB5255 (Streptavidin HRP) for 30 minutes at room temperature (1:1,000 dilution). The reaction was developed using DAB (HB0687) and counterstained using hematoxylin (HB6189) before sections were dehydrated and mounted using DPX. For more details please see our paraffin embedded immunohistochemistry protocol. Images were taken on a standard widefield microscope using brightfield illumination and a 20x objective.
Biological Data
Application notes
Paraffin Embedded Immunohistochemistry (IHC-P): We recommend a starting dilution of 1:500 although this may need further optimisation depending upon the experimental conditions. Please see our paraffin embedded immunohistochemistry protocol for more information. We recommend developing the staining reaction using DAB (HB0687) as this produces a stable precipitate for imaging.
Western Blot (WB): We recommend a starting dilution of 1:20,000 although this may need further optimisation depending upon affinity of the primary antibody and the abundance of the target probed for. We recommend developing using enhanced chemiluminescence (please see our range of ECL substrates). For more information please see our Western Blotting ProtocolÂ
ELISA: We recommend a starting dilution of 1:10,000 although this will need optimising for the specific assay.
Solubility & Handling
Storage instructions
-20°C
Storage buffer
50% Glycerol, 50% PBS, pH 7.4
Important
This product is for RESEARCH USE ONLY and is not intended for therapeutic or diagnostic use. Not for human or veterinary use