Goat Anti-Mouse IgG H&L (HRP) preadsorbed ValidAb™

(HB8356)

Certificate of Analysis

Latest Certificate of Analysis

Download the latest CoA for this product:

Download CoA

Download Batch-Specific CoA

To download the CoA for a batch, enter the batch ID below:

Technical documents: CoA SDS Datasheet

Product overview

Name Goat Anti-Mouse IgG H&L (HRP) preadsorbed ValidAb™
Host Goat
Clonality Polyclonal
Target Mouse IgG H&L
Conjugate Horseradish peroxidase (HRP)
Description

Goat Anti-Mouse IgG H&L Horseradish peroxidase (HRP) secondary antibody. Part of the ValidAb™ range of highly validated, data-rich antibodies.

Write Your Own Review
You're reviewing:Goat Anti-Mouse IgG H&L (HRP) preadsorbed ValidAb™
Rate this item:

Validation data

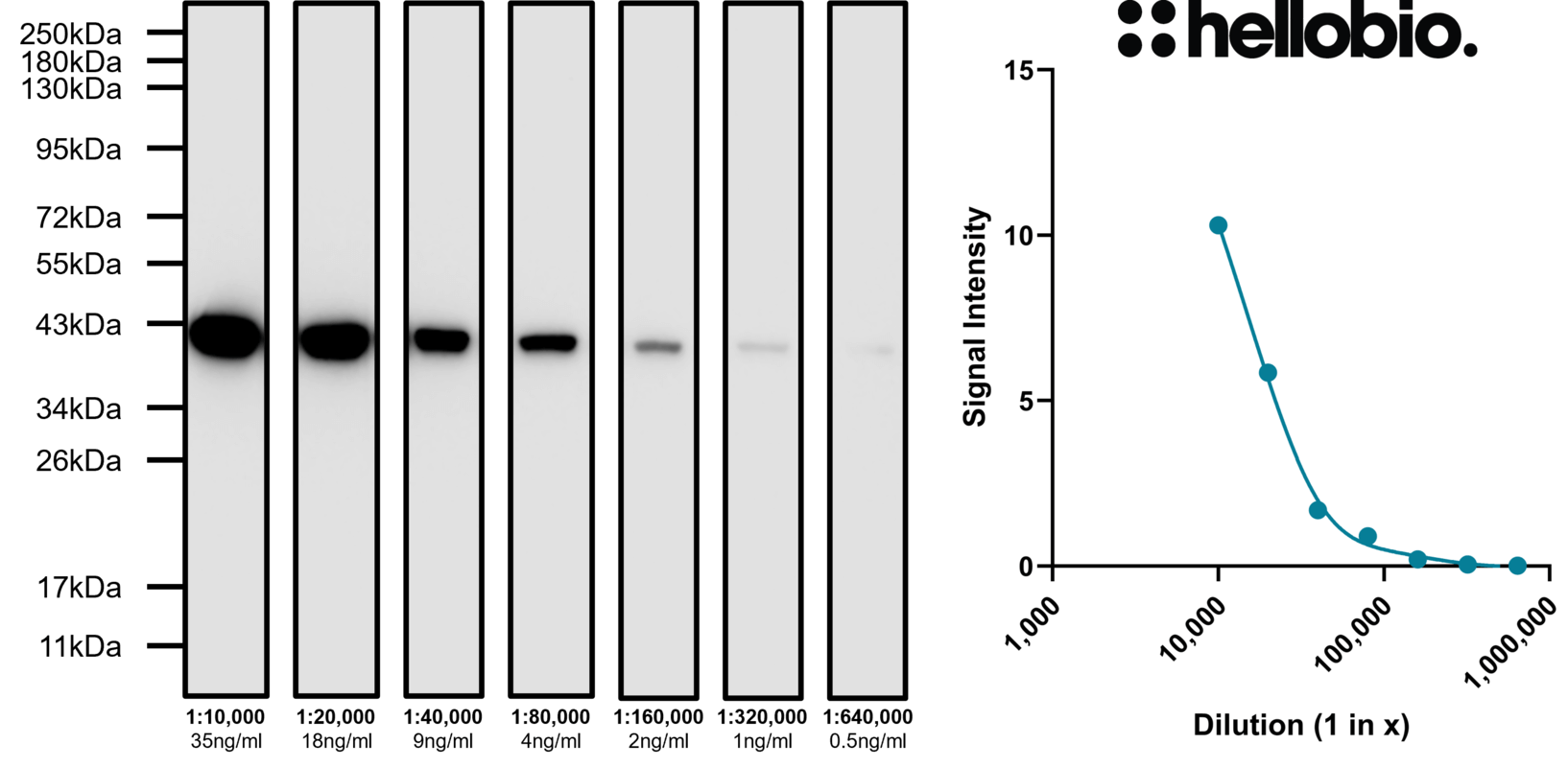
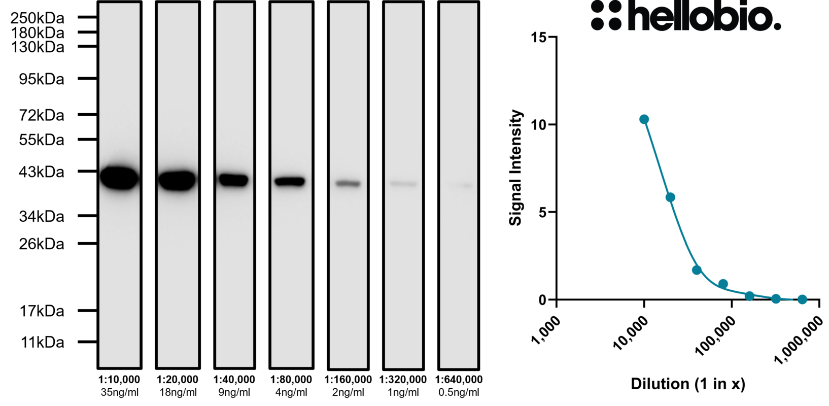
Figure 1. Concentration response of HB8356 staining when using an anti-GAPDH (HB9177) primary antibody.
Figure 2. No background staining observed when HB8356 is tested using a no-primary control.
Figure 3. HB8356 shows extremely high sensitivity producing bands down to a 1:2,000,000 dilution.

Product information

Immunogen

Purified mouse IgG

Isotype IgG
Purification notes

Immunogen affinity chromatography. Pre-adsorbed with human serum proteins

Concentration 0.35mg/ml
Formulation 50% Glycerol, 50% PBS pH 7.4 with 0.05% ProClin-300

Tested applications

Applications ELISA, IHC, WB
Western blot optimal concentration

Dependent on assay. A 1:20,000 dilution is a good starting point.

Open data link

Please follow this link to OSF

Storage & Handling

Storage instructions

-20°C

Important This product is for RESEARCH USE ONLY and is not intended for therapeutic or diagnostic use. Not for human or veterinary use

FAQs

What guarantee do you have that my secondary antibody will perform as expected?

We guarantee that your secondary antibody will work for the applications we list on the datasheet. If the antibody fails to perform as expected then we are happy to offer a 100% refund guarantee. For more details please see our guarantee policy.

What protocols are available for use with this secondary antibody?

We have made a comprehensive collection of protocols that we have used in our experiments to validate this secondary antibody.

What counterstains do you recommend for use in ICC and IHC with this secondary antibody?

We recommend using either DAPI, Hoechst 33342 or Propidium Iodide to label cell nuclei. We also provide FITC Phalloidin and Rhodamine Phalloidin-TRITC for labelling actin filaments within cells.

Can I use sodium azide containing solutions to dilute this hrp conjugated antibody?

Sodium azide strongly inhibits the activity of horseradish peroxidase (HRP) therefore we do not recommend using sodium azide as a preservative in any diluent for this antibody.

Any other questions?

For any other questions about our antibody products please see our technical FAQs for antibodies

References for Goat Anti-Mouse IgG H&L (HRP) preadsorbed ValidAb™

References are publications that support the biological activity of the product
  • Coordinated interplay between palmitoylation, phosphorylation and SUMOylation regulates kainate receptor surface expression.

    Yucel BP et al (2023) Frontiers in molecular neuroscience 16 : 1270849
  • The induction of p53 correlates with defects in the production, but not the levels, of the small ribosomal subunit and stalled large ribosomal subunit biogenesis.

    Eastham MJ et al (2023) Nucleic acids research 51 : 9397-9414
  • Western blot: technique, theory, and trouble shooting.

    Mahmood T et al (2012) North American journal of medical sciences 4 : 429-34