The picro sirius red staining technique is frequently used to histologically stain collagen I and III fibers. It can be used to identify fibrillar collagen networks in tissue sections.
When viewed under linear polarized light, collagens appear as green, red, orange or yellow fibers.
Sample orientation under linear polarized light is thought to affect the hue and signal strength of the technique. Circular polarized light may be used to overcome this limitation but requires specialized equipment. Alternatively, fluorescent imaging of picro sirius red stained samples may be used which yields a strong red fluorescent signal that is sensitive and specific for collagen and is unaffected by sample orientation.
Description
Solution for histological staining of Collagen I and III fibers
Figure. 1: Picro Sirius red staining in the forelimb of a lamb.
Picro Sirius red staining in the forelimb of a lamb. Picro Sirius red from Hello Bio stains collagen fibres red while muscle fibres are stained yellow. For protocol see notes below
Figure. 2: Picro Sirius red staining in toad skin under both standard widefield illumination and polarised light.
Picro Sirius red staining in toad skin under both standard widefield illumination and polarised light. Under widefield illumination Picro Sirius red from Hello Bio stains collagen fibres red and muscle fibres yellow. Under polarised light it is possible to differentiate between collagen types with collagen 1 showing as orange/red while collagen 3 is green. For protocol see notes below.
Figure. 3: Picro Sirius red staining in the forelimb of a lamb.
Picro Sirius red staining in the forelimb of a lamb. Picro Sirius red from Hello Bio stains collagen fibres red while muscle fibres are stained yellow. For protocol see notes below.
Picro Sirius red from Hello Bio stains collagen fibres red while muscle fibres are stained yellow. For protocol see notes below.
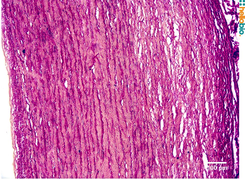
Picro Sirius red staining in chimpanzee aorta. Picro Sirius red from Hello Bio stains collagen I and III fibres red. For protocol see notes below.
Figure. 5: Picro Sirius red staining in toad skin.
Pirco Sirius red staining in toad skin. Under widefield illumination Picro Sirius red from Hello Bio stains collagen fibres red wheread muscle fibres and the cytosol of cells show as yellow. For protocol see notes below.
Figure. 6: Picro Sirius red staining in chimpanzee testicle.
Picro Sirius red staining in chimpanzee testicle. Under widefield illumination Picro Sirius red from Hello Bio stains collagen fibres red and the cytosol of cells yellow. For protocol see notes below.
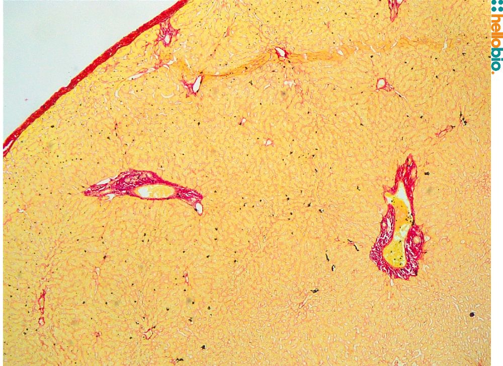
Figure. 7: Picro Sirius red staining in chimpanzee liver.
Picro Sirius red staining in Chimpanzee liver. Under widefield illumination Picro Sirius red from Hello Bio stains collagen fibres red and the cytosol of cells yellow. For protocol see notes below.
Figure. 8: Picro Sirius red staining in kitten heart.
Picro Sirius red staining in kitten heart. Under widefield illumination Picro Sirius red from Hello Bio stains collagen fibres red and muscle fibres yellow. For protocol see notes below
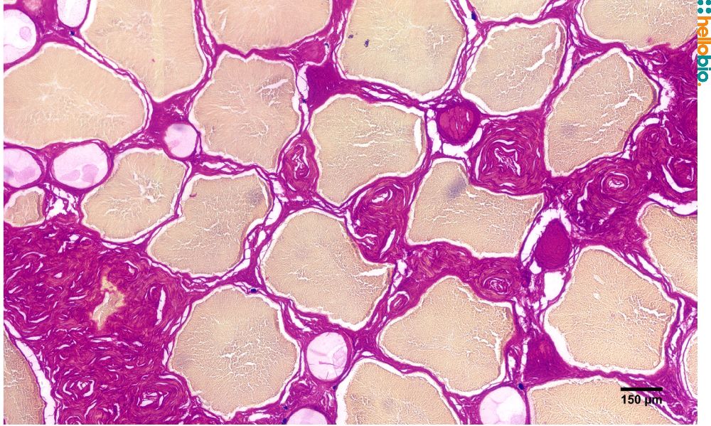
Figure. 9: Picro Sirius red staining in kidney tissue.
Picro Sirius red staining in kidney tissue. Under widefield illumination Picro Sirius red from Hello Bio stains collagen fibres red and cytosol of cells yellow. For protocol see notes below
Figure. 10: Picro Sirius red staining in formalin fixed Chimpanzee aorta under both standard widefield illumination and polarised light.
Picro Sirius red staining in formalin fixed Chimpanzee aorta under both standard widefield illumination and polarised light. Under widefield illumination Picro Sirius red from Hello Bio stains collagen fibres red and muscle fibres yellow. Under polarised light it is possible to differentiate between collagen types with collagen 1 showing as orange/red while collagen 3 is green. For protocol see notes below.
Figure. 11: Picro Sirius red staining in formalin fixed Chimpanzee aorta under both standard widefield illumination and polarised light.
Picro Sirius red staining in formalin fixed Chimpanzee aorta under both standard widefield illumination and polarised light. Under widefield illumination Picro Sirius red from Hello Bio stains collagen fibres red and muscle fibres yellow. Under polarised light it is possible to differentiate between collagen types with collagen 1 showing as orange/red while collagen 3 is green. For protocol see notes below.
Figure. 12: Picro Sirius red staining in Zenker fixed juvenile cat heart under both standard widefield illumination and polarised light.
Picro Sirius red staining in Zenker fixed juvenile cat heart under both standard widefield illumination and polarised light. Under widefield illumination Picro Sirius red from Hello Bio stains collagen fibres red and muscle fibres yellow. Under polarised light it is possible to differentiate between collagen types with collagen 1 showing as orange/red while collagen 3 is green. For protocol see notes below.
Figure. 13: Picro Sirius red staining in Bouins fixed Chimpanzee testis under both standard widefield illumination and polarised light.
Picro Sirius red staining in Bouins fixed Chimpanzee testis under both Standard 1 widefield illumination and polarised light. Under widefield illumination Picro Sirius red from Hello Bio stains collagen fibres red and muscle fibres yellow. Under polarised light it is possible to differentiate between collagen types with collagen 1 showing as orange/red while collagen 3 is green. For protocol see notes below.
Figure. 14: Picro Sirius red staining in bouins fixed Chimpanzee testis.
Picro Sirius red staining in Bouins fixes Chimpanzee testis. Under widefield illumination Picro Sirius red from Hello Bio stains collagen fibres red and the cytosol of cells yellow. For protocol see notes below
Figure. 1: Picro Sirius red staining in the forelimb of a lamb.
Picro Sirius red staining in the forelimb of a lamb. Picro Sirius red from Hello Bio stains collagen fibres red while muscle fibres are stained yellow. For protocol see notes below
Figure. 2: Picro Sirius red staining in toad skin under both standard widefield illumination and polarised light.
Picro Sirius red staining in toad skin under both standard widefield illumination and polarised light. Under widefield illumination Picro Sirius red from Hello Bio stains collagen fibres red and muscle fibres yellow. Under polarised light it is possible to differentiate between collagen types with collagen 1 showing as orange/red while collagen 3 is green. For protocol see notes below.
Figure. 3: Picro Sirius red staining in the forelimb of a lamb.
Picro Sirius red staining in the forelimb of a lamb. Picro Sirius red from Hello Bio stains collagen fibres red while muscle fibres are stained yellow. For protocol see notes below.
Picro Sirius red from Hello Bio stains collagen fibres red while muscle fibres are stained yellow. For protocol see notes below.
Picro Sirius red staining in chimpanzee aorta. Picro Sirius red from Hello Bio stains collagen I and III fibres red. For protocol see notes below.
Figure. 5: Picro Sirius red staining in toad skin.
Pirco Sirius red staining in toad skin. Under widefield illumination Picro Sirius red from Hello Bio stains collagen fibres red wheread muscle fibres and the cytosol of cells show as yellow. For protocol see notes below.
Figure. 6: Picro Sirius red staining in chimpanzee testicle.
Picro Sirius red staining in chimpanzee testicle. Under widefield illumination Picro Sirius red from Hello Bio stains collagen fibres red and the cytosol of cells yellow. For protocol see notes below.
Figure. 7: Picro Sirius red staining in chimpanzee liver.
Picro Sirius red staining in Chimpanzee liver. Under widefield illumination Picro Sirius red from Hello Bio stains collagen fibres red and the cytosol of cells yellow. For protocol see notes below.
Figure. 8: Picro Sirius red staining in kitten heart.
Picro Sirius red staining in kitten heart. Under widefield illumination Picro Sirius red from Hello Bio stains collagen fibres red and muscle fibres yellow. For protocol see notes below
Figure. 9: Picro Sirius red staining in kidney tissue.
Picro Sirius red staining in kidney tissue. Under widefield illumination Picro Sirius red from Hello Bio stains collagen fibres red and cytosol of cells yellow. For protocol see notes below
Figure. 10: Picro Sirius red staining in formalin fixed Chimpanzee aorta under both standard widefield illumination and polarised light.
Picro Sirius red staining in formalin fixed Chimpanzee aorta under both standard widefield illumination and polarised light. Under widefield illumination Picro Sirius red from Hello Bio stains collagen fibres red and muscle fibres yellow. Under polarised light it is possible to differentiate between collagen types with collagen 1 showing as orange/red while collagen 3 is green. For protocol see notes below.
Figure. 11: Picro Sirius red staining in formalin fixed Chimpanzee aorta under both standard widefield illumination and polarised light.
Picro Sirius red staining in formalin fixed Chimpanzee aorta under both standard widefield illumination and polarised light. Under widefield illumination Picro Sirius red from Hello Bio stains collagen fibres red and muscle fibres yellow. Under polarised light it is possible to differentiate between collagen types with collagen 1 showing as orange/red while collagen 3 is green. For protocol see notes below.
Figure. 12: Picro Sirius red staining in Zenker fixed juvenile cat heart under both standard widefield illumination and polarised light.
Picro Sirius red staining in Zenker fixed juvenile cat heart under both standard widefield illumination and polarised light. Under widefield illumination Picro Sirius red from Hello Bio stains collagen fibres red and muscle fibres yellow. Under polarised light it is possible to differentiate between collagen types with collagen 1 showing as orange/red while collagen 3 is green. For protocol see notes below.
Figure. 13: Picro Sirius red staining in Bouins fixed Chimpanzee testis under both standard widefield illumination and polarised light.
Picro Sirius red staining in Bouins fixed Chimpanzee testis under both Standard 1 widefield illumination and polarised light. Under widefield illumination Picro Sirius red from Hello Bio stains collagen fibres red and muscle fibres yellow. Under polarised light it is possible to differentiate between collagen types with collagen 1 showing as orange/red while collagen 3 is green. For protocol see notes below.
Figure. 14: Picro Sirius red staining in bouins fixed Chimpanzee testis.
Picro Sirius red staining in Bouins fixes Chimpanzee testis. Under widefield illumination Picro Sirius red from Hello Bio stains collagen fibres red and the cytosol of cells yellow. For protocol see notes below
Biological Data
Application notes
Protocol summary:
Deparaffinize/ dewax sections if required
Hydrate in distilled water
Immerse sections in picro Sirius red solution and stain for 60 min at room temperature
Rinse slides quickly in 2 changes of acetic acid solution
Rinse slide in absolute alcohol
Deyhydrate in 2 changes of absolute alcohol
Clear and mount slide using resinous mounting medium. A permanent and not aqueous mounting medium should be used.
Interpretation of staining / results:
Polarized Light Microscopy:
Type I (Thick fibers) Yellow-Orange Birefringence
Type III (Thin fibers) Green Birefringence
Light Microscopy:
Collagen – Red
Muscle Fibers – Yellow
Cytoplasm - Yellow
Control tissue: Lung, Muscle, Kidney or Uterus may be used as a control tissue.
Solubility & Handling
Storage instructions
Room temperature
Important
This product is for RESEARCH USE ONLY and is not intended for therapeutic or diagnostic use. Not for human or veterinary use