Selectively stains Nissl substance in neurons on formalin fixed, paraffin-embedded tissue. Commonly used for identifying the basic neuronal structure in brain and spinal cord tissue. Nissl granules stain purple/ violet while nuclei of neuroglia and endothelial cells are slightly bluer than Nissl granules (violet to dark blue).
Control Tissue: Cerebral Cortex
Â
Description
Stains Nissl substance in neurons on formalin fixed, paraffin-embedded tissue
Figure1. Cresyl Violet staining in formalin fixed rat dentate gyrus
Cresyl Violet from Hello Bio stains Nissl substance blue within the neurons of the dentate gyrus. For protocol see notes below.
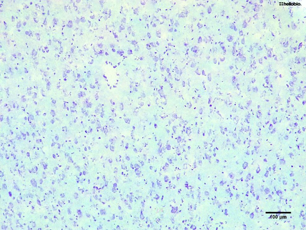
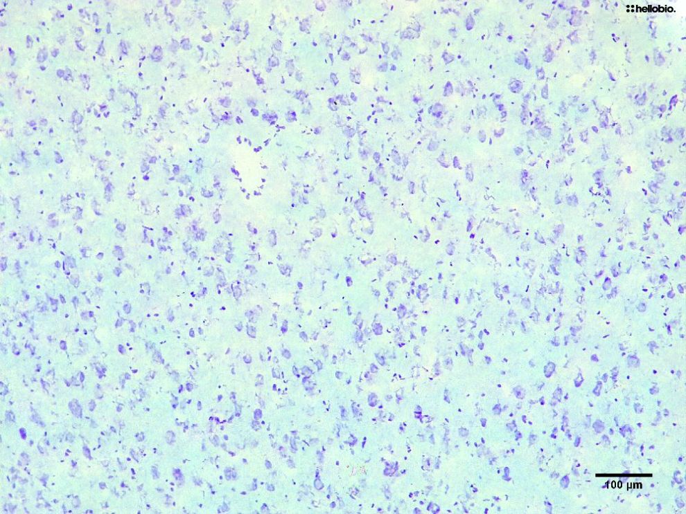
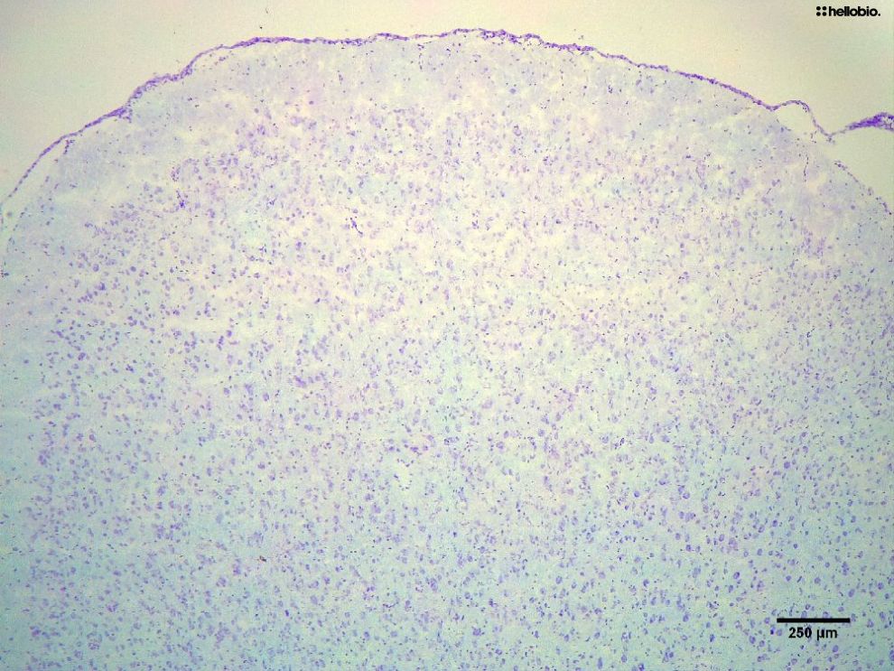
Figure2. Cresyl Violet staining in formalin fixed rat prefrontal cortex
Cresyl Violet from Hello Bio stains Nissl substance blue within the neurons of the PFC. For protocol see notes below.
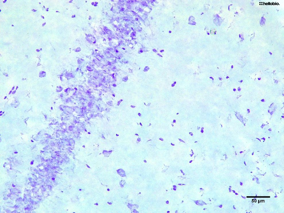
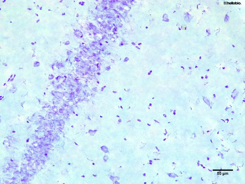
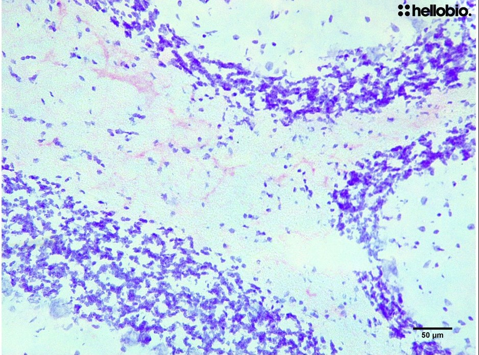
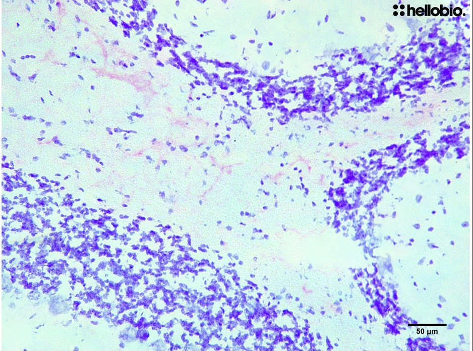
Figure3. Cresyl Violet staining in formalin fixed rat CA
Cresyl Violet from Hello Bio stains Nissl substance blue within the neurons of hippocampal CA1. For protocol see notes below.
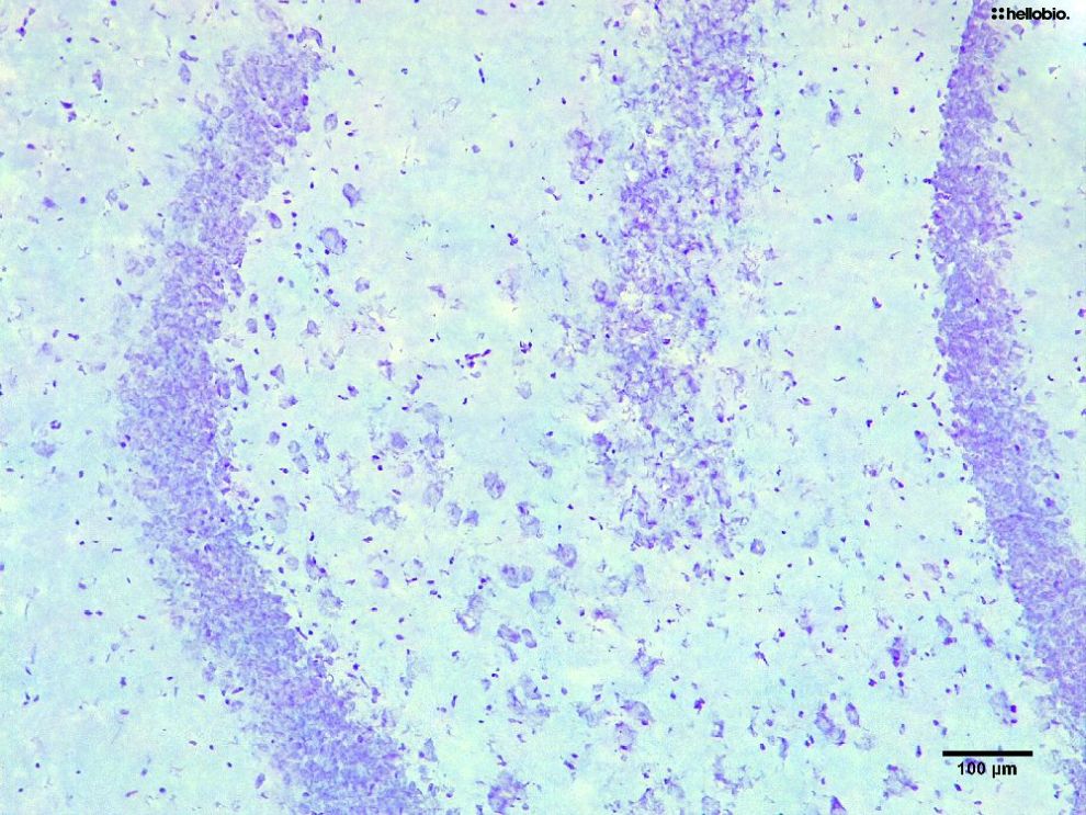
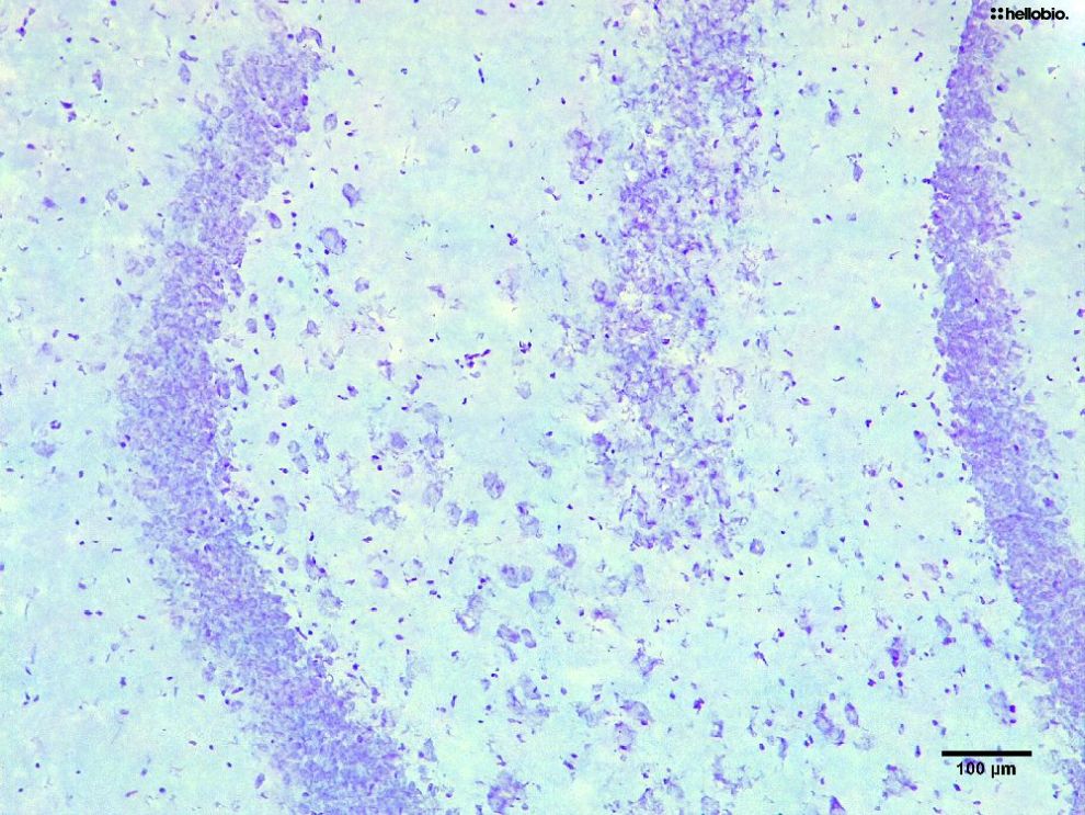
Figure4. Cresyl Violet staining in formalin fixed rat hippocampus
Cresyl Violet from Hello Bio stains Nissl substance blue within the neurons of the hippocampus. For protocol see notes below.
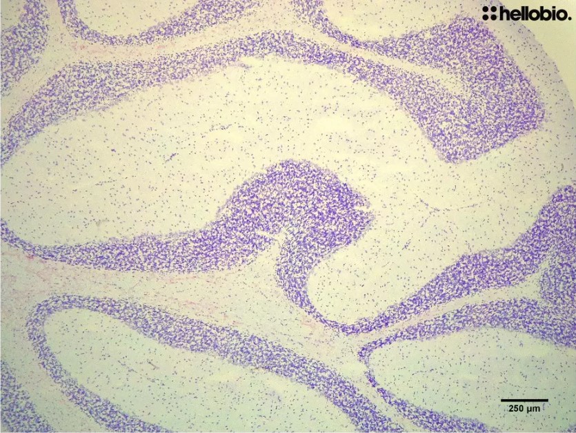
Figure5. Cresyl Violet staining in formalin fixed rat cerebellum
Bio stains NissI substance blue within the neurons of the cerebellum. For protocol see notes below.
Figure6. Cresyl Violet staining in formalin fixed rat cerebellum
Cresyl Violet from Hello Bio stains Nissl substance blue within the neurons of the cerebellum. For protocol see notes below.
Figure7. Cresyl Violet staining in formalin fixed rat prefrontal cortex
Cresyl Violet from Hello Bio stains Nissl substance blue within the neurons of the PFC. For protocol see notes below.
Figure8. Cresyl Violet staining in formalin fixed rat cerebellum
Cresyl Violet from Hello Bio stains Nissl substance blue within the neurons of the cerebellum. For protocol see notes below.
Figure9. Cresyl Violet staining in formalin fixed rat cerebellum
Cresyl Violet from Hello Bio stains NissI substance blue within the neurons of the cerebellum. For protocol see notes below.
Figure1. Cresyl Violet staining in formalin fixed rat dentate gyrus
Cresyl Violet from Hello Bio stains Nissl substance blue within the neurons of the dentate gyrus. For protocol see notes below.
Figure2. Cresyl Violet staining in formalin fixed rat prefrontal cortex
Cresyl Violet from Hello Bio stains Nissl substance blue within the neurons of the PFC. For protocol see notes below.
Figure3. Cresyl Violet staining in formalin fixed rat CA
Cresyl Violet from Hello Bio stains Nissl substance blue within the neurons of hippocampal CA1. For protocol see notes below.
Figure4. Cresyl Violet staining in formalin fixed rat hippocampus
Cresyl Violet from Hello Bio stains Nissl substance blue within the neurons of the hippocampus. For protocol see notes below.
Figure5. Cresyl Violet staining in formalin fixed rat cerebellum
Bio stains NissI substance blue within the neurons of the cerebellum. For protocol see notes below.
Figure6. Cresyl Violet staining in formalin fixed rat cerebellum
Cresyl Violet from Hello Bio stains Nissl substance blue within the neurons of the cerebellum. For protocol see notes below.
Figure7. Cresyl Violet staining in formalin fixed rat prefrontal cortex
Cresyl Violet from Hello Bio stains Nissl substance blue within the neurons of the PFC. For protocol see notes below.
Figure8. Cresyl Violet staining in formalin fixed rat cerebellum
Cresyl Violet from Hello Bio stains Nissl substance blue within the neurons of the cerebellum. For protocol see notes below.
Figure9. Cresyl Violet staining in formalin fixed rat cerebellum
Cresyl Violet from Hello Bio stains NissI substance blue within the neurons of the cerebellum. For protocol see notes below.
Biological Data
Application notes
Protocol:
Working Solutions: This stain may be diluted up to 1:10 with deionized water just before use.
1. Deparaffinize and hydrate sections to distilled water.
2. Apply Cresyl Violet Acetate solution (or your Cresyl Violet Acetate working solution) to tissue for 3-5 minutes
3. Quickly rinse in 1 change of distilled water.
4. Dehydrate rapidly in absolute alcohol. Please note that alcohol may remove the stain from tissue over time.
5. Clear in 3 or 4 changes of xylene/xylene substitute and
6. Mount with synthetic resin.
Â
#Protocol 1: Cresyl Violet staining of frozen brain sections
Â
10µm fresh frozen sections were cut on a cryostat then fixed in 10% neutral buffered formalin for 10 minutes
Sections were washed 3 times in dH2O then incubated for 8 minutes in acidified cresyl violet solution (5 drops of 10% acetic acid in 30ml of cresyl violet solution)
Sections were then differentiated in 96% alcohol briefly (acidified with 3 drops 10% acetic acid / 50ml alcohol) before being then washed in 100% alcohol and allowed to air dry
Once dry, slides were incubated in xylene 3 times for 5 minutes and then mounted using DPX.
Â
Note: If using paraffin embedded sections, deparaffinise the sections before hydrating into distilled water and then proceed with staining in Cresyl Violet solution
Solubility & Handling
Storage instructions
Room temperature
Important
This product is for RESEARCH USE ONLY and is not intended for therapeutic or diagnostic use. Not for human or veterinary use