Brilliant Blue R-250

(HB0739)

Certificate of Analysis

Latest Certificate of Analysis

Download the latest CoA for this product:

Download CoA

Download Batch-Specific CoA

To download the CoA for a batch, enter the batch ID below:

Technical documents: CoA SDS Datasheet

Product overview

Name Brilliant Blue R-250
Alternative names Brilliant blue R; Coomassie brilliant blue R-250; Acid Blue 83; CI 42660
Biological description Red tinted form of coomassie dye. Key tool for various colorimetric protein gel stains. Used to stain and quantify proteins.
Purity >90%
Description Key tool for staining and quantifying proteins
Write Your Own Review
You're reviewing:Brilliant Blue R-250
Rate this item:

Images

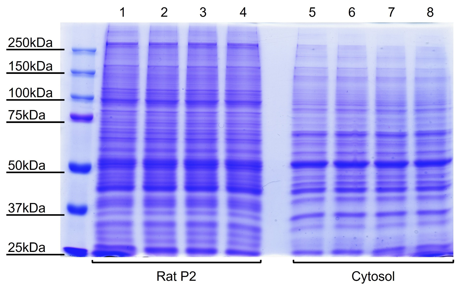
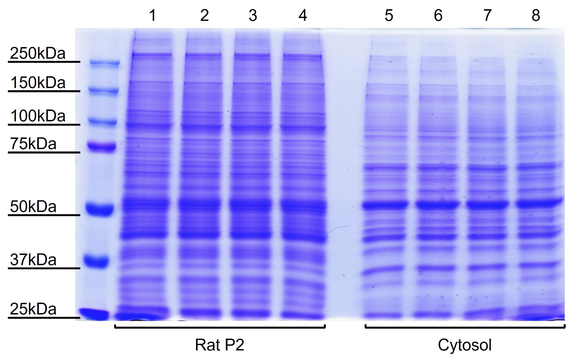
Figure1. Protein expression in rat brain P2 membrane and cytosol fractions.

Brilliant Blue R-250 is commonly used to stain proteins following SDS-PAGE. Brilliant Blue R-250 from Hello Bio specifically labels bands of protein obtained from rat brain P2 and cytosol fractions following SDS- PAGE. For protocol see #Protocol 1 in application notes below.
Brilliant Blue R-250 product vial image | Hello Bio

Biological Data

Application notes

#Protocol 1: Brilliant Blue R-250 staining of rat brain fractions.

  • P2 membrane and cytosol fractions were prepared from rat brains following established protocols (Molnar et al., 1993. Neuroscience 53:307-326).
  • SDS-PAGE was conducted following standard protocols (Laemmli., 1970. Nature 227:680-685) using a 10% acrylamide gel.
  • Staining and de-staining solutions were prepared as:
    • Staining:
      Reagent Concentration Amount for 250ml
      Brilliant Blue R-250 (HB0739) 0.025% 62.5mg
      Methanol 40% 100ml
      Acetic acid 7% 17.5ml
      dH2O 53% 132.5ml
    • De-staining: 
      Reagent Concentration Amount for 250ml
      Methanol 50% 125ml
      Acetic acid 7% 17.5ml
      dH2O 43% 107.5ml
  • The gel was incubated in staining solution for 20 minutes followed by incubation in destaining solution for 3 hours with multiple changes of solution.
  • Imaging was conducted using a Epson 4180 Photo scanner

Solubility & Handling

Storage instructions Room temperature
Solubility overview Water (10mM)
Important This product is for RESEARCH USE ONLY and is not intended for therapeutic or diagnostic use. Not for human or veterinary use.

Calculators

Molarity

=
x
x
More Info

Dilution

x
=
x
More Info

Chemical Data

Purity >90%
Chemical name Brilliant blue R; Coomassie brilliant blue R-250; Acid Blue 83; CI 42660
Molecular Weight 825.99
Chemical structure Brilliant Blue R-250  [6104-59-2] Chemical Structure
Molecular Formula C45H44N3O7S2Na
CAS Number 6104-59-2
PubChem identifier 61365
SMILES CCN(CC1=CC(=CC=C1)S(=O)(=O)[O-])C2=CC=C(C=C2)C(=C3C=CC(=[N+](CC)CC4=CC(=CC=C4)S(=O)(=O)[O-])C=C3)C5=CC=C(C=C5)NC6=CC=C(C=C6)OCC.[Na+]

References for Brilliant Blue R-250

References are publications that support the biological activity of the product
  • Spectrophotometric and colorimetric determination of protein concentration.

    Simonian MH et al (2006) Curr Protoc Mol Biol Chapter 10 : Unit 10.1A.
  • Colorimetric protein assay techniques.

    Sapan CV et al (1999) Biotechnol Appl Biochem 29 ( Pt 2) : 99-108.

2 Item(s)